Streptococcus suis in Water Buffalo Calves: First Report with Histological and Genomic Insights

Authors

  • Massimiliano Paoletti Istituto Zooprofilattico Sperimentale dell'Abruzzo e del Molise "G. Caporale", Teramo, Italy
  • Franca Rossi Istituto Zooprofilattico Sperimentale dell’Abruzzo e del Molise “G. Caporale”, 86100 Campobasso, Italy https://orcid.org/0000-0002-7443-1538
  • Ilaria Del Matto Istituto Zooprofilattico Sperimentale dell’Abruzzo e del Molise “G. Caporale”, 86100 Campobasso, Italy
  • Marco Di Domenico Istituto Zooprofilattico Sperimentale dell'Abruzzo e del Molise "G. Caporale", Teramo, Italy https://orcid.org/0000-0003-4795-8323
  • Giovanni Di Teodoro Istituto Zooprofilattico Sperimentale dell'Abruzzo e del Molise "G. Caporale", Teramo, Italy https://orcid.org/0000-0002-9595-782X
  • Alessandra Alessiani Istituto Zooprofilattico Sperimentale dell'Abruzzo e del Molise "G. Caporale", Teramo, Italy https://orcid.org/0000-0002-0285-5710
  • Giuseppe Colapietro Private practice Veterinary Doctor, 81100 Caserta
  • Antonio Natale Private practice Veterinary Doctor, 81100 Caserta
  • Francesco Salzillo Private practice Veterinary Doctor, Italy
  • Lucio Marino Istituto Zooprofilattico Sperimentale dell’Abruzzo e del Molise “G. Caporale”, 86100 Campobasso, Italy
  • Nicola D'Alterio Istituto Zooprofilattico Sperimentale dell'Abruzzo e del Molise "G. Caporale", Teramo, Italy https://orcid.org/0000-0001-5633-3283
  • Giovanni Savini Istituto Zooprofilattico Sperimentale dell'Abruzzo e del Molise "G. Caporale", Teramo, Italy https://orcid.org/0000-0001-7933-7367
  • Antonio Petrini Istituto Zooprofilattico Sperimentale dell'Abruzzo e del Molise "G. Caporale", Teramo, Italy https://orcid.org/0000-0002-2089-4123

DOI:

https://doi.org/10.12834/VetIt.3627.28758.2

Keywords:

Streptococcus suis, dairy water buffalo, calf death, serotype 2, novel ST

Abstract

In this study, two cases of sudden death following infection-like symptoms in dairy water buffalo calves aged 5 – 12 days were investigated by anatomopathological examinations and laboratory tests. Four bacterial infectious agents were isolated from the brain, which presented meningitis-like lesions, and liver, which appeared hyperaemic and with fibrin formations. The four isolates were phenotypically identified as Streptococcus suis and found to be genetically identical by whole genome sequencing (WGS). One of the isolates was further characterized by hybrid short and long reads genome sequencing and found to represent a novel sequence type (ST) of S. suis serotype 2.

Further investigations are needed to better understand its pathogenic potential, host specificity and environmental sources of infection.

Introduction

Streptococcus suis is a facultative anaerobic, Gram-positive, non-motile coccus that produces α-haemolysis on blood agar and is recognized as a major swine pathogen worldwide. It poses a significant public health concern due to its high zoonotic potential (Gottschalk et al., 2019). Phylogenetic analysis based on 16S rRNA gene sequences places S. suis in a distinct branch within the genus Streptococcus (Gao et al., 2014). To date, 35 serotypes have been identified, differentiated by the antigenicity of their capsular polysaccharides (CPSs) (Wisselink et al., 2000; Okura et al., 2016; Dutkiewicz et al., 2017).

Over 70 virulence factors have been described in S. suis, including cell wall components, surface and extracellular proteins, enzymes, and regulatory elements involved in host adhesion, in vivo survival, and immune evasion (Fittipaldi et al., 2012). In pigs, hyperacute and acute infections typically manifest as meningitis and septicaemia, particularly in piglets, whereas chronic infections present as pneumonia, endocarditis, arthritis, abortion, and vaginitis (Lun et al., 2007). In humans, S. suis infection can lead to meningitis, endocarditis, septicaemia, permanent hearing loss, and even death (Gottschalk et al., 2012). Though primarily a porcine pathogen, sporadic cases have been reported in other species, including dogs, cats, and horses (Hommez et al., 1988; Staats et al., 1997; Muckle et al., 2010; Wood et al., 2021).

Reports of S. suis infection in ruminants are rare. Two strains of serotype 9 were previously isolated from a Bison bison with meningitis and from a lamb with endocarditis (Gottschalk et al., 1989). Okwumabua et al. (2017) documented the isolation and partial characterization of S. suis in 16 clinical cases in cattle, with co-infection in 13 of those cases involving other respiratory pathogens such as Mannheimiahaemolytica, Mycoplasma bovis, and Pasteurella multocida. In the remaining three cases, S. suis was the sole isolate recovered from the conjunctiva and pharynx. Furthermore, an untyped S. suis strain was isolated from the brain of a calf presenting with haemolytic bacterial infection on blood agar (Okwumabua et al., 2020).

Serotype 2 is the most frequently isolated S. suis serotype, typically found in the respiratory tract—particularly the nasopharynx and tonsils—of clinically healthy pigs, although it can also colonize the genital and gastrointestinal tracts (Gottschalk, 2012). The higher prevalence of serotype 2 in clinical disease, as compared to other serotypes, is attributed to its increased virulence rather than to greater exposure. Variability in pathogenicity among serotype 2 strains is linked to distinct virulence factors and infection sites (Gottschalk et al., 2007). While serotype 2 is most often associated with disease, serotypes 1, 7, 9, and 14 have also been recovered from clinical cases (Wisselink et al., 2000).

This study reports the characterization of S. suis isolates from the first known cases of fatal infections caused by S. suis serotype 2 in water buffalo calves.

Materials and methods

Bacterial strains and culture conditions

The bacterial isolates examined in this study were obtained from two carcasses of dairy water buffalo calves aged 5 and 15 days, respectively. The carcasses were submitted to the diagnostic unit of the Istituto Zooprofilattico Sperimentale dell’Abruzzo e del Molise (IZSAM), Campobasso branch, in March 2024, where a complete anatomopathological examination was performed to determine the cause of death.

All culture media used were supplied by Liofilchem (Roseto degli Abruzzi, TE, Italy). Following gross examination of organs and body cavities, samples were aseptically collected from the brain, intestinal contents, liver, lungs, and kidneys. These were streaked directly onto Blood Agar, MacConkey Agar, and Mannitol Salt Agar, and incubated aerobically at 37°C for up to 72 hours. Resulting colonies were subjected to Gram staining, catalase and oxidase tests, and biochemical identification using the API 20 Strep system (BioMérieux, Firenze, Italy), following the manufacturer's instructions. Phenotypic identification was confirmed using matrix-assisted laser desorption ionization-time of flight mass spectrometry (MALDI-TOF MS) on a MALDI Biotyper (Bruker Daltonik, Germany).

In parallel, intestinal tissues were tested for the presence of Rotavirus and Coronavirus using VetMAX Ruminant Rotavirus & Coronavirus Kit (Thermo Fisher Scientific, Waltham, MA), while lung samples were analyzed for Bovine Parainfluenza 3 virus (BPI3) and Bovine Respiratory Syncytial Virus (BRSV) through VetMax BRSV PI3 Kit (Thermo Fisher Scientific, Waltham, MA), and Infectious Bovine Rhinotracheitis (IBR) virus (Dwiyatmo et al., 2021). Brain tissues were examined for the presence of Astrovirus using specific real-time RT-PCR protocols routinely employed in the Virology unit at IZSAM (Lüthi et al. 2028; Zaccaria et al. 2020).

Additionally, fecal samples were analyzed for endoparasites by flotation according to Soulsby (1982). To detect Cryptosporidium spp., fecal smears were stained using the modified Ziehl–Neelsen technique as described by the World Organisation for Animal Health (WOAH, 2022).

Histological inspection

Samples of intestinal, liver, lung, and brain tissues were fixed in 10% buffered formalin and processed for histological examination using hematoxylin and eosin (H&E) staining.

Whole genome sequencing

Genomic DNA was extracted from colony biomass using the Maxwell® RSC Genomic DNA Kit (Promega, Madison, CA, USA), following the manufacturer’s instructions. DNA quality control was performed by measuring concentration with a Qubit 2.0 fluorometer and purity with a NanoDrop spectrophotometer (both from ThermoFisher Scientific, Waltham, MA, USA).

Whole-genome sequencing was conducted using both short- and long-read technologies. For Illumina sequencing, genomic libraries were prepared from 100–500 ng of DNA using the DNA Library Prep Kit (Illumina, San Diego, CA, USA), following the manufacturer's protocol. Library quality was assessed using D1000 DNA ScreenTape assays on the TapeStation 4200 (Agilent Technologies, Santa Clara, CA, USA), and sequencing was performed on the Illumina NextSeq2000 platform.

For long-read sequencing, genomic libraries were prepared using the Native Barcoding Kit 24 V14 (SQK-NBD114.24, Oxford Nanopore Technologies [ONT], Oxford, UK) and sequenced on a GridION sequencer with a FLO-MIN114 flow cell. Base calling was set to super accurate (SUP) mode using Dorado v7.3.9 (https://github.com/nanoporetech/dorado).

Analysis of Illumina short reads was carried out using the NGSManager software (https://github.com/genpat-it/ngsmanager), part of the GENPAT bioinformatics platform developed at IZSAM (https://github.com/genpat-it). Reads were trimmed using fastp v0.23.1 (https://github.com/OpenGene/fastp) and de novo assembled using Shovill v1.1.0 (https://github.com/tseemann/shovill). Assembly quality was evaluated using Quast v5.2.0 (https://github.com/ablab/quast).

Illumina short reads and Nanopore long reads were combined using Unicycler v0.5.0 (https://github.com/rrwick/Unicycler) for hybrid genome assembly. The final assemblies were validated with Quast and annotated with Prokka v1.14.5 (https://github.com/tseemann/prokka), using the Streptococcus suis reference genome GCA_000231905 (NCBI GenBank: https://www.ncbi.nlm.nih.gov/genbank/). Both short and long reads were deposited in NCBI GenBank (SRA) under BioProject ID: PRJNA1142229.

Single nucleotide polymorphism (SNP) analysis was conducted using the CFSAN pipeline (Davis et al., 2015) implemented on the GENPAT platform, using the hybrid genome as a reference. In silico multilocus sequence typing (MLST) and minimum core genome (MCG) typing were also performed using NGSManager. Virulence gene profiling was conducted as described by Cucco et al. (2022), applying filters of >95% coverage and >99% sequence identity. Unless otherwise stated, all tools were used with default parameters.

Antimicrobial resistance testing

Antimicrobial susceptibility testing was performed by determining the Minimum Inhibitory Concentrations (MICs) using the Sensititre™ Complete Automated AST System (Thermo Scientific™, Milan, Italy) and the ITSVE8 custom plate (Thermo Scientific). The panel included the following antibiotics: Tylmicosin, Trimethoprim/Sulfadiazine, Sulfisoxazole, Rifampicin, Penicillin, Oxacillin + 2% NaCl, Kanamycin (high level and standard), Florfenicol, Erythromycin, Enrofloxacin, Clindamycin, Ceftiofur, Cefazolin, Ampicillin, Amoxicillin/Clavulanic acid, and Tetracycline.

Bacterial cells were suspended in saline to achieve a turbidity equivalent to 0.5 McFarland standard. A 10 µL aliquot of the suspension was diluted in Mueller-Hinton Cation-Adjusted Broth (Thermo Scientific) and used for MIC testing. Plates were incubated aerobically at 37°C for 24 hours, and MICs were visually determined. Interpretation of results was conducted according to the Clinical and Laboratory Standards Institute (CLSI, 2023) guidelines.

Antimicrobial resistance genes were identified through whole-genome analysis using ResFinder v4.5.0 (Bortolaia et al., 2020; Camacho et al., 2009).

Results

The dairy calf carcasses examined in this study originated from a farm that had previously experienced multiple cases of sudden, unexplained deaths among calves aged 2 to 15 days between December 2023 and January 2024, resulting in a mortality rate of 25.5% among newborn calves over that two-month period. A resurgence of infectious episodes occurred between February and March 2024, leading to an additional 22.2% mortality rate in the same age group.

While a few affected calves exhibited diarrhoea, the majority presented with non-specific clinical signs, including apathy, depression, anorexia, dehydration, fever, and tachypnoea, with death typically occurring within 12 to 24 hours following the onset of symptoms.

External examination of the submitted carcasses revealed no specific lesions, apart from evident signs of dehydration. Figure 1 depicts one of the two necropsied calf carcasses.

Figure. 1. Buffalo calf carcass before necropsy.

Anatomopathological findings

Upon anatomopathological inspection, the abdominal cavity revealed serous effusion and marked hyperaemia of the small intestinal mucosa, which contained a white-greenish liquid faecal content. Mild to moderate hemorrhage, fibrin deposition, and edema were also observed. The liver appeared moderately enlarged, accompanied by gallbladder distension (Figure 2).

Figure. 2. Marked intestinal hyperaemia and fibrin deposition on the liver surface of a dairy water buffalo calf subjected to anatomopathological examination in this study.

The lungs exhibited areas of brick-red parenchyma in the apical lobes, with a wet and fibrous consistency (Figure 3a). Upon opening the cranial cavity, marked meningeal hyperaemia was observed (Figure 3b).

Figure. 3. Pulmonary and cerebral findings in a dairy water buffalo calf carcass examined in this study. (a) Pneumonia in the middle lung lobe with associated pericardial haemorrhages. (b) Marked meningeal hyperaemia.

Histological examination

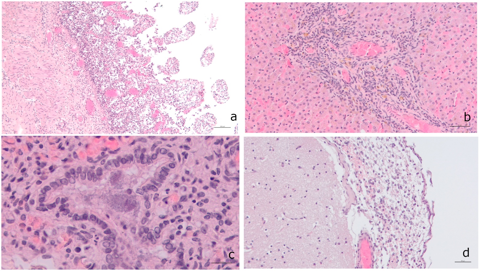
Figure. 4. Histological images of hematoxylin and eosin-stained tissues from a dairy water buffalo calf carcass examined in this study. (a) Small intestine showing severe villus blunting and mucosal inflammation (scale bar: 100 µm). (b) Liver with sinusoidal congestion, hemorrhage, and periportal inflammatory infiltrate (scale bar: 20 µm). (c) Lung displaying bronchiolar fibrin exudate with bacterial colonies (scale bar: 20 µm). (d) Brain showing leptomeningeal inflammation with mixed inflammatory infiltrate and vascular congestion (scale bar: 50 µm). Microbiological test results

Histological examination confirmed severe, diffuse necrotizing enteritis; multifocal hepatic hemorrhages with marked congestion of hepatic sinusoids; and multifocal biliary stasis. The lungs exhibited multifocal acute hemorrhagic and purulent bronchopneumonia. Additionally, meningitis was observed, characterized by a multifocal lymphocytic, histiocytic, and plasmacytic infiltrate.

Specifically, the small intestine showed multifocally and severely blunted villi, with enterocytes occasionally sloughed or lost, swollen, vacuolated, and necrotic. The lamina propria was infiltrated by moderate numbers of neutrophils and fewer lymphocytes, and small blood vessels appeared congested, expanded to nearly twice their normal diameter (Figure 4a). The liver exhibited periportal connective tissue infiltrated multifocally by low to moderate numbers of lymphocytes, plasma cells, fewer neutrophils, and macrophages, along with a mild increase in biliary ductular profiles (ductular reaction), multifocal hemorrhages, pronounced sinusoidal congestion, and accumulation of yellow to brown hemosiderin pigment (Figure 4b).

Lung tissue revealed small bronchioles filled with eosinophilic fibrillary material (fibrin) admixed with numerous basophilic bacteria (Figure 4c). The meninges exhibited expansion of the leptomeninges by a dense inflammatory infiltrate composed of numerous macrophages, lymphocytes, and neutrophils, admixed with eosinophilic flocculent beaded material (fibrin) and proteinaceous fluid (edema). Blood vessels within the leptomeninges were multifocally congested and showed small hemorrhages (Figure 4d).

Four bacterial isolates (S1–S4) were obtained from the brain and liver of each carcass following 24 hours of incubation on blood agar. The isolates exhibited partial haemolytic activity, as shown in Figure 5.

Figure. 5. Figure 5. Colony morphology and partial haemolytic activity on blood agar of one of the four morphologically identical bacterial isolates obtained from the examined calf carcasses.

Microscopic examination revealed Gram-positive cocci, and phenotypic testing showed negative catalase and oxidase reactions. The biochemical profiles were consistent with presumptive Streptococcus spp., which were subsequently confirmed as Streptococcus suis serotype 2 by MALDI-TOF mass spectrometry.

Real-time PCR assays for all targeted viruses yielded negative results, and no endoparasites or Cryptosporidium spp. were detected in the examined samples.

Genome sequencing results

Illumina sequencing of the Streptococcus suis isolates S1–S4 produced 2,587,446; 1,669,832; 1,748,998; and 2,292,480 raw reads, respectively, with a mean quality score of Q33. SNP analysis of all four isolates showed 100% identity, indicating the presence of a single strain. Isolate S1 was also sequenced using the long-read GridION platform, generating 2,759,472 raw reads with a mean length of 1,117 bp, totaling 3 Gbp, and a mean quality score of Q13. Hybrid genome assembly resulted in a single circular contig of 2,328,037 bp with no plasmids detected. This fully assembled isolate was designated as S. suis IZSAM.

In silico MLST analysis of S. suis IZSAM revealed a novel S. suis serotype 2 sequence type (ST) characterized by a new allele in the recA gene, closely related to allele 285, and an overall allele profile not previously described. This genotype is closely related to ST808 and ST1972, sharing identical alleles for aroA, cpn60, dpr, and mutS, but differing in the gki, recA, and thrA loci (Table I).

Table. I. Multilocus sequence typing (MLST) profile of Streptococcus suis IZSAM and its closest related sequence types (STs). Alleles are shown for the seven housekeeping genes (aroA, cpn60, dpr, gki, mutS, recA, and thrA).

Minimum core genome (MCG) typing identified Streptococcus suis IZSAM as a new MCG, closely related to group 7, subgroup 7-2, as defined by Zheng et al. (2014). The isolate shared identical single nucleotide polymorphisms (SNPs) at positions 2,028,696; 2,028,744; 107,453; 81,999; 81,404; and 81,419, but exhibited different nucleotides at positions 824,818; 822,644; 825,000; and 572,576 (Table II).

Table. II. Comparison of single nucleotide polymorphisms (SNPs) used for minimum core genome (MCG) typing between Streptococcus suis IZSAM and the closest related MCGs. Shared and distinct SNP positions are shown relative to the reference defined by Zheng et al. (2014).

Virulence factor analysis revealed the presence of 89 genes potentially associated with the hypervirulent phenotype of Streptococcus suis IZSAM.

Antimicrobial resistance features

S. suis isolates S1–S4 were susceptible to Penicillin, Ampicillin, Oxacillin, Kanamycin, Florfenicol, Erythromycin, Enrofloxacin, Ceftiofur, Cefazolin, Amoxicillin/Clavulanic acid, and Tetracycline. Intermediate susceptibility was observed for Trimethoprim/Sulfadiazine, Rifampicin, and Clindamycin (Table III).

Table. III. Antibiotic susceptibility profile of Streptococcus suis isolates S1–S4. Interpretation of MIC results: S = susceptible; I = intermediate susceptibility; NA = not applicable (not interpretable for this species, though included in the test panel).

The presence of the lnu(C) gene may explain the intermediate susceptibility of the isolates to clindamycin, a lincosamide antibiotic (Achard et al., 2005).

Discussion

The wide host range of Streptococcus suis reflects its remarkable adaptability. However, in cases involving hosts other than swine, the characterization of isolates has often been insufficient to fully assess their virulence potential or genetic relatedness. The frequent detection of S. suis alongside other pathogenic bacteria in non-swine hosts highlights its opportunistic nature. Nevertheless, limited characterization of isolates from these alternative hosts continues to leave open questions regarding their intrinsic pathogenic potential.

In the infection cases described in this study, S. suis was isolated from multiple organs, including the brain, of dairy water buffalo calves, strongly implicating this microorganism as the likely cause of death—analogous to its well-established pathogenic role in piglets. Indeed, in swine, the pathogenicity of S. suis is considered uncertain when the bacterium is isolated from organs other than the brain, particularly given its frequent association with co-infections. In contrast, isolation from the central nervous system (CNS) is commonly interpreted as direct evidence of causality in fatal cases. In the present study, histopathological lesions consistent with meningitis were observed (Bornemann et al., 2024), and no other bacterial, viral, or parasitic pathogens were detected. These findings strongly support S. suis-induced meningitis as the cause of death in the affected buffalo calves. Notably, previous studies have reported a higher susceptibility to S. suis meningitis in neonates, with CNS involvement decreasing with age (Madson et al., 2019; Gottschalk et al., 2019).

Genomic analysis revealed that the isolate, designated S. suis IZSAM, represents a novel sequence type (ST) with a unique allelic profile, including a previously undescribed recA allele. SNP-based minimum core genome (MCG) typing also identified it as a new MCG, distinct yet related to previously defined subgroups. Furthermore, the presence of 89 putative virulence genes suggests a hypervirulent phenotype that may contribute to its pathogenicity in non-porcine hosts. These findings warrant further functional studies to clarify the strain’s virulence mechanisms, host specificity, and zoonotic potential.

Further investigation is also needed to determine the source of infection on the farm. Possible transmission routes include contaminated water or maternal transmission via milk, as intramammary S. suis infections have been previously reported in water buffaloes (Singha et al., 2024).

In conclusion, to the best of our knowledge, this study reports the first documented cases of fatal S. suis infection in buffalo calves. The S. suis IZSAM isolate appears to be highly virulent and neuroinvasive. These findings underscore the need for continued epidemiological and molecular surveillance to identify potential reservoirs of the pathogen and to develop control strategies for S. suis in the dairy water buffalo sector.

Acknowledgments

The authors sincerely thank everyone involved in the study. Authors also thank the veterinarians dr. Giuseppe Colapietro, dr. Antonio Natale, Dr. Francesco Salzillo for their support and for allowing this case description.

Ethical approval

The study does not require any ethical approval.

Conflict of interest

The authors declare that they have no conflict of interest.

Author Contributions

Conceptualization: MP, FR, and AP; Methodology: MP, FR, IDM, GDT, MDD, and AA; Formal analysis: FR, IDM, GDT, MDD, and AA; Investigation: MP, FR, IDM, GDT, MDD, AA, GC, AN, and FS; Writing original draft preparation: MP, and FR; Writing, review and editing: MP, FR, and MDD; Visualization, MP, and FR; Supervision, GS, and NDA; Project administration, AP, LM and GS; Funding acquisition, NDA, GS, and AP. All authors have read and agreed to the published version of the manuscript.

Data availability

Illumina and Nanopore raw reads are publicly available on GenBank (BioProject ID: PRJNA1142229), all the other data are available upon request to the corresponding author.

Fundings

This work was supported by a grant from Regione Molise, grant number: RMPRP2125 “Piano Regionale di Prevenzione 2021/2025”, recipient Antonio Petrini.

References

Achard, A., Villers, C., Pichereau, V., & Leclercq, R. (2005). New lnu(C) gene conferring resistance to lincomycin by nucleotidylation in Streptococcus agalactiae UCN36. Antimicrobial Agents and Chemotherapy, 49(7), 27162719.

Bornemann, N. N., Mayer, L., Lacouture, S., Gottschalk, M., Baums, C. G., & Strutzberg-Minder, K. (2024). Invasive bacterial infections of the musculoskeletal and central nervous system during pig rearing: Detection frequencies of different pathogens and specific Streptococcus suis genotypes. Veterinary Sciences, 11(1).

Bortolaia, V., Kaas, R. S., Ruppe, E., Roberts, M. C., Schwarz, S., Cattoir, V., et al. (2020). ResFinder 4.0 for predictions of phenotypes from genotypes. The Journal of Antimicrobial Chemotherapy, 75(12), 3491–3500.

Camacho, C., Coulouris, G., Avagyan, V., Ma, N., Papadopoulos, J., Bealer, K., & Madden, T. L. (2009). BLAST+: architecture and applications. BMC Bioinformatics, 10(1), 421.

Clinical and Laboratory Standards Institute - CLSI VET01S ED6:2023 - Performance Standards for Antimicrobial Disk and Dilution Susceptibility Tests for Bacteria Isolated From Animals, 6th Edition.

Cucco, L., Paniccià, M., Massacci, F. R., Morelli, A., Ancora, M., Mangone, I., et al. (2022). New sequence types and antimicrobial drug-resistant strains of Streptococcus suis in diseased pigs, Italy, 2017-2019. Emerging Infectious Diseases, 28(1), 139–147.

Davis, S., Pettengill, J. B., Luo, Y., Payne, J., Shpuntoff, A., Rand, H., & Strain, E. (2015). CFSAN SNP Pipeline: an automated method for constructing SNP matrices from next-generation sequence data. PeerJ. Computer Science, 1, e20.

Dutkiewicz, J., Sroka, J., Zając, V., Wasiński, B., Cisak, E., Sawczyn, A., et al. (2017). Streptococcus suis: a re-emerging pathogen associated with occupational exposure to pigs or pork products. Part I - Epidemiology. Annals of Agricultural and Environmental Medicine: AAEM, 24(4), 683–695.

Dwiyatmo W, Untari T, Kristianingrum YP. Detection of Bovine Herpes Virus –I Infection Causing Infectious Bovine Rhinotracheitis in Imported Cattle: Serology and Molecular Method. Indonesian Journal of Veterinary Sciences. Vol. 2. No. 2 September 2021, Page. 68-75 DOI:10.22146/ijvs.v2i2.66617.

Fittipaldi, N., Segura, M., Grenier, D., & Gottschalk, M. (2012). Virulence factors involved in the pathogenesis of the infection caused by the swine pathogen and zoonotic agent Streptococcus suis. Future Microbiology, 7(2), 259–279.

Gao, X.-Y., Zhi, X.-Y., Li, H.-W., Klenk, H.-P., & Li, W.-J. (2014). Comparative genomics of the bacterial genus Streptococcus illuminates evolutionary implications of species groups. PloS One, 9(6), e101229.

Gottschalk, M., Higgins, R., Jacques, M., Mittal, K. R., & Henrichsen, J. (1989). Description of 14 new capsular types of Streptococcus suis. Journal of Clinical Microbiology, 27(12), 2633–2636.

Gottschalk, M., Segura, M., & Xu, J. (2007). Streptococcus suis infections in humans: the Chinese experience and the situation in North America. Animal Health Research Reviews, 8(1), 29–45.

Gottschalk, M., Xu, J., Calzas, C., & Segura, M. (2010). Streptococcus suis: a new emerging or an old neglected zoonotic pathogen? Future Microbiology, 5(3), 371–391.

Gottschalk, M. (2012). Streptococcosis. In: Zimmerman, J., Karriker, L., Ramirez, A., Schwartz, K., & Stevenson, G., editors. Pig disease 10th ed. John Wiley & Sons. Hoboken, New Jersey, pp. 841–855.

Gottschalk, M., Segura, M. (2019). Streptococcosis. In: Zimmermann J.J., Karriker L.A., Ramirez A., Schwartz K.J., & Stevenson G.W., editors. Diseases of Swine. 11th ed. Wiley-Blackwell; Chichester, UK, pp. 934–950.

Hommez, J., Wullepit, J., Cassimon, P., Castryck, F., Ceyssens, K., & Devriese, L. A. (1988). Streptococcus suis and other streptococcal species as a cause of extramammary infection in ruminants. The Veterinary Record, 123(24), 626–627.

Kerdsin, A., Dejsirilert, S., Akeda, Y., Sekizaki, T., Hamada, S., Gottschalk, M., & Oishi, K. (2012). Fifteen Streptococcus suis serotypes identified by multiplex PCR. Journal of Medical Microbiology, 61(Pt 12), 1669–1672.

King, S. J., Leigh, J. A., Heath, P. J., Luque, I., Tarradas, C., Dowson, C. G., & Whatmore, A. M. (2002). Development of a multilocus sequence typing scheme for the pig pathogen Streptococcus suis: identification of virulent clones and potential capsular serotype exchange. Journal of Clinical Microbiology, 40(10), 3671–3680.

Lun, Z.-R., Wang, Q.-P., Chen, X.-G., Li, A.-X., & Zhu, X.-Q. (2007). Streptococcus suis: an emerging zoonotic pathogen. The Lancet Infectious Diseases, 7(3), 201–209.

Lüthi R, Boujon CL, Kauer R, Koch MC, Bouzalas IG, Seuberlich T. Accurate and precise real-time RT-PCR assays for the identification of astrovirus associated encephalitis in cattle. Sci Rep. 2018 Jun 15;8(1):9215. doi: 10.1038/s41598-018-27533-8. PMID: 29907784; PMCID: PMC6003944.

Madson D.M., Arruda P.H.E., & Arruda B.L. (2019) Nervous and Locomotor System. In: Zimmermann J.J., Karriker L.A., Ramirez A., Schwartz K.J., & Stevenson G.W., editors. Diseases of Swine. Diseases of Swine. 11th ed. Wiley-Blackwell; Chichester, UK, pp. 339–372.

Muckle, A., Giles, J., Lund, L., Stewart, T., & Gottschalk, M. (2010). Isolation of Streptococcus suis from the urine of a clinically ill dog. The Canadian Veterinary Journal. La Revue Veterinaire Canadienne, 51(7), 773–774.

Okwumabua, O., Peterson, H., Hsu, H.-M., Bochsler, P., & Behr, M. (2017). Isolation and partial characterization of Streptococcus suis from clinical cases in cattle. Journal of Veterinary Diagnostic Investigation: Official Publication of the American Association of Veterinary Laboratory Diagnosticians, Inc, 29(2), 160–168.

Okwumabua, O., Williamson, C. H. D., Pearson, T. R., & Sahl, J. W. (2020). Draft genome sequence of a Streptococcus suis isolate from a case of cattle meningitis. Microbiology Resource Announcements, 9(19).

Okura, M., Osaki, M., Nomoto, R., Arai, S., Osawa, R., Sekizaki, T., & Takamatsu, D. (2016). Current Taxonomical Situation of Streptococcus suis. Pathogens, 5(3), 45.

Singha, S., Koop, G., Rahman, M. M., Ceciliani, F., Addis, M. F., Howlader, M. M. R., et al. (2024). Pathogen group-specific risk factors for intramammary infection in water buffalo. PloS One, 19(4), e0299929.

Soulsby, E. J. L. (1982). Part 4 – Techniques. In: Helminths, Arthropods and Protozoa of Domesticated Animals, 7th ed. Bailliere Tindall – Elsevier, London. pp. 765–774.

Staats, J. J., Feder, I., Okwumabua, O., & Chengappa, M. M. (1997). Streptococcus suis: past and present. Veterinary Research Communications, 21(6), 381–407.

Wisselink, H. J., Smith, H. E., Stockhofe-Zurwieden, N., Peperkamp, K., & Vecht, U. (2000). Distribution of capsular types and production of muramidase-released protein (MRP) and extracellular factor (EF) of Streptococcus suis strains isolated from diseased pigs in seven European countries. Veterinary Microbiology, 74(3), 237–248.

Wood, J., Reagan, K. L., Gunther-Harrington, C., & Sykes, J. E. (2021). Identification of Streptococcus suis in a cat with endomyocarditis. JFMS Open Reports, 7(1), 20551169211012346.

World Organization for Animal Health. (2022). Terrestrial manual. Cryptosporidiosis. Chapter 3.10.2. https://www.woah.org/fileadmin/Home/fr/Health_standards/tahm/3.10.02_CRYPTO.pdf. Accessed on 1 October 2024.

Zaccaria G, Lorusso A, Hierweger MM, Malatesta D, Defourny SV, Ruggeri F, Cammà C, Ricci P, Di Domenico M, Rinaldi A, et al. Detection of Astrovirus in a Cow with Neurological Signs by Nanopore Technology, Italy. Viruses. 2020; 12(5):530. https://doi.org/10.3390/v12050530

Zheng, H., Ji, S., Lan, R., Liu, Z., Bai, X., Zhang, W., et al. (2014). Population analysis of Streptococcus suis isolates from slaughtered swine by use of minimum core genome sequence typing. Journal of Clinical Microbiology, 52(10), 3568–3572.

Downloads

Published

2025-04-14

How to Cite

Paoletti, M., Rossi, F., Del Matto, I., Di Domenico, M., Di Teodoro, G. ., Alessiani, A., Colapietro, G. ., Natale, A., Salzillo, F., Marino, L., D’Alterio, N., Savini, G., & Petrini, A. (2025). Streptococcus suis in Water Buffalo Calves: First Report with Histological and Genomic Insights. Veterinaria Italiana, 61(2). https://doi.org/10.12834/VetIt.3627.28758.2

Issue

Topics*

Paper

Most read articles by the same author(s)

1 2 > >>