Production and Characterization of Egg-Derived Antibodies (IgY) Against Outer Membrane Proteins of Multidrug-Resistant Salmonella enterica Serovar Typhimurium

Authors

  • Aakanksha Tiwari Department of Veterinary Microbiology, College of Veterinary and Animal Sciences, G. B. Pant University of Agriculture & Technology, Pantnagar-263145, India
  • Rajesh Kumar Department of Veterinary Microbiology, College of Veterinary and Animal Sciences, G. B. Pant University of Agriculture & Technology, Pantnagar-263145, India
  • Garima Pandey Department of Veterinary Microbiology, College of Veterinary and Animal Sciences, G. B. Pant University of Agriculture & Technology, Pantnagar-263145, India
  • Namita Shukla Department of Veterinary Microbiology, College of Veterinary and Animal Sciences, G. B. Pant University of Agriculture & Technology, Pantnagar-263145, India
  • Anupama Mishra Central Agricultural University, Imhpal India
  • Anuj Tewari Department of Veterinary Microbiology, College of Veterinary and Animal Sciences, G. B. Pant University of Agriculture & Technology, Pantnagar-263145, India

DOI:

https://doi.org/10.12834/VetIt.3565.31552.3

Keywords:

Antimicrobial resistance, hyperimmunization, Dextran Sulphate, IgY, Salmonella Typhumurium

Abstract

Non-typhoidal salmonellosis is a globally prevalent zoonotic disease, often associated with the growing concern of antimicrobial resistance (AMR). This persistent issue underscores the urgent need for novel strategies for prevention and control. Although conventional approaches such as drug or vaccine development are widely explored, they are often time-consuming, costly, and subject to potential bacterial resistance over time.

As an alternative, egg-derived antibodies (IgY) offer a promising solution. IgY can be produced in large quantities without the need for complex infrastructure or environmental risk. Their production is characterized by a favorable safety profile, scalability, high antibody yield per egg yolk, cost-effectiveness, and lack of cross-reactivity in mammals—attributes that collectively make this technology highly advantageous.

The present investigation aimed to establish a standardized protocol for hyperimmunization, production, and isolation of IgY antibodies from the yolk of immunized hens targeting multidrug-resistant (MDR) Salmonella enterica serovar Typhimurium. The study further focused on the characterization and specificity assessment of the purified IgY. The findings suggest that the resulting IgY holds strong potential as a therapeutic, prophylactic, or diagnostic agent against MDR S. Typhimurium.

Introduction

Globally, Salmonella enterica serovar Typhimurium (S. Typhimurium) is recognized as a pathogen of significant public health concern, primarily due to the emergence of antimicrobial resistance (AMR) resulting from the extensive misuse of antimicrobials (Xu et al., 2020). According to the World Health Organization (WHO), Salmonella ranks among the leading bacterial pathogens under AMR surveillance, and the Centers for Disease Control and Prevention (CDC) classifies multidrug-resistant (MDR) Salmonella as a “Serious Threat Level” pathogen (Brunelle et al., 2017). Multiple MDR strains of S. Typhimurium are now spreading globally in a pandemic-like pattern, affecting a wide range of animal species (Serrano-Fujarte et al., 2024).

Salmonellae are Gram-negative, motile, non-endospore-forming bacilli belonging to the Enterobacteriaceae family. Among their cellular components, outer membrane proteins (OMPs) play crucial roles in immune system interactions, such as inhibiting and activating complement pathways (Dudek et al., 2016). OMPs are recognized as major immunogens that can elicit protective immune responses and provide cross-protection. Due to these properties, OMPs have been extensively studied as vaccine candidates, virulence factors, and diagnostic antigens (Isibasi et al., 1988).

The passive transfer of specific antibodies into hen egg yolks was first demonstrated by Klemperer in 1893. Immunoglobulin Y (IgY) is the primary antibody transferred into the egg yolk via a pH-dependent receptor, conferring immunity to the developing chick (Klemperer, 1893; Tesar et al., 2008). IgY has wide-ranging applications in immunodiagnostics, therapeutics, prophylaxis, immunochemical assays, food supplements, and as biomarkers. It offers multiple advantages: it can be obtained without the need to slaughter animals, as it is extracted from egg yolk; it allows for the production of significant quantities at relatively low cost through a non-invasive process; it has minimal interaction with rheumatoid factors and does not activate the mammalian complement system (Hadge & Ambrosius, 1984). Additionally, IgY exhibits a greater ability to recognize diverse epitopes on mammalian proteins, thus enhancing immune response (Edzard et al., 2012), and can be effectively produced even against antigens that are poorly immunogenic in mammals (Hodek et al., 2013). Furthermore, it remains stable for at least one year when stored at 4°C. These properties make IgY an attractive candidate for development as a therapeutic, prophylactic, or diagnostic agent. Non-parenteral formulations—such as oral preparations, nasal sprays, and drops—could offer broad protection against pathogens targeting the gastrointestinal and respiratory tracts (Lee et al., 2021).

Given the urgent need for alternative approaches to combat MDR S. Typhimurium, this study aimed to explore an IgY-based intervention. Specifically, IgY antibodies were generated against the OMPs of MDR S. Typhimurium, due to their established immunogenicity. The present research focuses on the production and characterization of these IgY antibodies, with the goal of developing novel tools for targeting this highly resistant bacterial pathogen.

Material and methods

Bacterial strain and culture

A field isolate of Salmonella enterica serovar Typhimurium, originally recovered from poultry and maintained at the Department of Veterinary Microbiology, College of Veterinary and Animal Sciences, G.B. Pant University of Agriculture and Technology, Pantnagar, was used in the present study.

Hyperimmunization of layers

The outer membrane proteins (OMPs) of a multidrug-resistant (MDR) Salmonella enterica serovar Typhimurium field isolate were purified following the method described by Choi-Kim et al. (1991), with minor modifications (Choi-Kim et al., 1991; Tiwari et al., 2021). Six-month-old Rhode Island Red (RIR) layer hens, procured from the Instructional Poultry Farm of the College of Veterinary and Animal Sciences, G.B. Pant University of Agriculture and Technology (GBPUAT), Pantnagar, Uttarakhand, were selected for hyperimmunization. The birds were housed in battery cages and provided ad libitum access to feed and water throughout the study.

Table. I. Hyperimmunization schedule for Rhode Island Red layers. Outer membrane proteins (OMPs) were administered subcutaneously at 21-day intervals with progressively increasing antigen doses.

Prior to the experiment, all five hens were dewormed twice at 21-day intervals using 1 mL of oral piperazine. Their Salmonella-free status was confirmed through cultural examination of cloacal swabs to ensure the absence of the pathogen.

A water-in-oil emulsion was prepared by mixing the OMP solution (prepared in phosphate-buffered saline, pH 7.2) with adjuvant in a 1:1 ratio. All immunization doses were administered subcutaneously, as outlined in Table I. Eggs laid daily by the immunized hens were collected and stored at 4 °C until further use.

Purification of IgY from egg yolk

IgY was purified from egg yolk using the dextran sulphate precipitation method, with minor modifications, as previously described in studies conducted in our laboratory (Rani et al., 2012). Briefly, egg yolk was carefully separated from the egg white and diluted with phosphate-buffered saline (PBS, pH 7.2) to a final volume of 50 mL. The mixture was gently homogenized to obtain a uniform suspension, which was then centrifuged at 8000 rpm for 10 minutes. The resulting pellet was discarded, and the supernatant was retained.

To the supernatant, 3 mL of 10% (w/v) dextran sulphate solution (prepared in distilled water) was added and incubated for 15 minutes. Subsequently, 7.5 mL of 1 M calcium chloride solution was added and the mixture was incubated for an additional 30 minutes. After incubation, the suspension was centrifuged at 8000 rpm for 15 minutes, and the clear supernatant was collected.

Solid sodium sulphate was then added to the supernatant at a concentration of 20 g per 100 mL, followed by incubation for 20–30 minutes. The mixture was centrifuged again at 10,000 rpm for 10 minutes. The supernatant was retained and 6.2 mL of 36% sodium sulphate solution was added, followed by centrifugation at 11,000 rpm for 20 minutes. The resulting pellet was resuspended in 1× PBS.

The final IgY solution was aliquoted into small volumes and stored at –20 °C until further use. All steps were performed at room temperature.

Comparison of antibody titer in the serum and egg yolk during hyperimmunization

An indirect enzyme-linked immunosorbent assay (ELISA) was performed weekly to evaluate the antibody titres against the administered outer membrane proteins (OMPs), following the protocol described by Kumar et al. (2003), with minor modifications. Serum samples from hyperimmunized hens and IgY extracted from their egg yolks were collected weekly and stored at –20 °C until analysis. Pre-immunization serum and IgY samples served as negative controls, and blank wells were included as an additional control.

For coating, 100 µL of OMP solution (1:50 dilution in coating buffer) was added to each well of a microtiter plate and incubated overnight at 4 °C. The wells were then washed, and non-specific binding sites were blocked by adding 100 µL of blocking buffer (2% bovine serum albumin in PBS) per well, followed by incubation at 37 °C for 2 hours with gentle shaking.

After washing, 100 µL of diluted serum (1:100) or diluted IgY (1:100) was added to the appropriate wells and incubated for 2 hours at 37 °C with gentle shaking. After further washing, 100 µL of anti-chicken horseradish peroxidase (HRPO)-conjugated secondary antibody (diluted 1:5000 in blocking buffer) was added to each well and incubated for 1.5 hours at 37 °C. Plates were washed again, and the enzymatic reaction was initiated by adding 100 µL of substrate solution (o-phenylenediamine dihydrochloride [OPD] and 30% H₂O₂ in citrate buffer) per well and incubated in the dark for 30 minutes. The reaction was stopped by adding 5 M H₂SO₄, and the optical density (OD) was measured at 492 nm using a microplate reader.

The data were expressed as mean ± standard error (SE) of OD values. A line graph was plotted to visualize the weekly variation in antibody titres. Statistical analysis was performed according to the method described by Snedecor and Cochran (1994). One-way analysis of variance (ANOVA) was applied, and differences were considered significant at p ≤ 0.05. Means were separated using Duncan's Multiple Range Test (DMRT), implemented through the SPSS 26.0 statistical software package (Duncan, 1955).

Characterization of the purified IgY

The purified IgY was subjected to a series of laboratory analyses to assess its purity, yield, and specificity against the outer membrane proteins (OMPs) of multidrug-resistant (MDR) Salmonella enterica serovar Typhimurium.

SDS-PAGE and Western Blot analysis

Sodium dodecyl sulfate polyacrylamide gel electrophoresis (SDS-PAGE) was performed using a 10% resolving gel and a 4% stacking gel to determine the molecular size of the purified IgY antibodies. To evaluate the reactivity of the purified IgY against the outer membrane proteins (OMPs) of MDR S. Typhimurium, a Western blot was carried out following the protocol of Towbin et al. (1979).

Approximately 15 µg of OMPs were resolved on SDS-PAGE and subsequently transferred onto a nitrocellulose membrane (NCM) using a semi-dry transfer apparatus. Prior to transfer, the gel, filter papers, and membrane were soaked in transfer buffer for 15 minutes. The membrane was placed on the anode side, with the gel positioned above it on the cathode side, and the assembly was sandwiched between filter papers. Protein transfer was conducted at a constant voltage of 50 V, applying a current of 0.8 mA/cm² of gel area for one hour.

Following transfer, the membrane was carefully removed and incubated overnight at 4 °C in blocking buffer to prevent non-specific binding. After blocking, the membrane was washed and incubated with the primary antibody (purified IgY) diluted 1:500 in blocking buffer for 2.5 hours at 37 °C. After subsequent washes, the membrane was incubated with a 1:2000 dilution of horseradish peroxidase (HRPO)-conjugated anti-chicken IgY secondary antibody (Sigma) in blocking buffer for 2 hours at 37 °C. After final washes, the reaction was visualized using 3,3'-diaminobenzidine (DAB) as the chromogenic substrate.

Quantification of IgY

The total protein concentration of the purified IgY preparation was estimated using the Lowry method. To quantify the specific IgY fraction against the outer membrane proteins (OMPs), radial immunodiffusion (RID) was performed as described by Rani et al. (2012).

For RID, antibody-containing agar diffusion plates were prepared by mixing 0.35 mL of rabbit anti-chicken IgY antiserum with 1.65 mL of Tris-buffered saline (TBS, pH 8.2), followed by incubation at 56 °C. Separately, 70 mg of agarose (Hi-Media) was dissolved in 5 mL of TBS and maintained at 56 °C. The agarose solution was then mixed with the anti-chicken IgY solution and evenly poured onto clean, grease-free glass slides. After solidification, wells of 3 mm diameter were punched at 15 mm intervals.

The wells were loaded with standard IgY solutions (ranging from 0.4 mg/mL to 6.5 mg/mL) and with the purified IgY sample. The plates were incubated at 37 °C for 24 hours. Following incubation, a standard curve was constructed by plotting the square of the diameter (d²) of the precipitin rings formed around each standard well against the corresponding IgY concentration. The concentration of specific IgY in the purified preparation was then determined using the regression equation derived from the standard curve.

Agarose gel immunodiffusion (AGID)

Agarose gel immunodiffusion was performed to detect precipitating antibodies in both the serum of hyperimmunized hens and the purified IgY preparations obtained from egg yolk. The agarose gel was prepared by dissolving 1 g of Low EEO agarose (HiMedia) and 9 g of NaCl in 100 mL of distilled water using a boiling water bath.

For the assay on glass slides, one central well was filled with serum from hyperimmunized birds, while two peripheral wells were loaded with S. Typhimurium OMPs diluted 1:5 and 1:10, respectively. In a separate assay conducted in a Petri plate, the central well was charged with the dialyzed purified IgY preparation, and the surrounding wells were loaded with OMPs at serial dilutions of 1:2, 1:5, 1:10, and 1:20.

After loading the samples, both the slide and the Petri plate were incubated at 37 °C in a humidified chamber for 36 hours. Following incubation, the gels were transferred to 4 °C for additional 24 hours to enhance the development of precipitin lines.

Dot Enzyme Immunoassay

Dot ELISA was performed to evaluate the specificity of the purified IgY against the outer membrane proteins (OMPs) of MDR S. Typhimurium. The OMPs were used as antigens at a 1:20 dilution from the original stock solution (7.28 mg/mL). The primary antibody—i.e., the purified IgY preparation—was used at a dilution of 1:500.

Nitrocellulose membrane (NCM) strips were first washed with sterilized triple-distilled water, air-dried, and then spotted with the antigen solution (OMPs). After allowing the antigen to dry, the unbound sites on the membrane were blocked by immersing the strips in 1% gelatin solution and incubating at 37 °C for 1 hour.

Following blocking, the strips were washed and incubated in the purified IgY solution for 1 hour at 37 °C. After washing again, the strips were immersed in a 1:2000 dilution of anti-chicken IgY horseradish peroxidase (HRPO) conjugate and incubated for an additional hour at 37 °C.

The detection was carried out by developing the strips using a substrate solution consisting of 0.5 mg/mL diaminobenzidine (DAB) and 1 μL/mL of 30% (v/v) hydrogen peroxide in citrate buffer.

Analysis of stability of IgY at different temperatures

To evaluate the thermal stability of purified IgY, different aliquots were stored for six months at various temperatures: 37 °C, room temperature, 0 °C, 4 °C, –20 °C, and –40 °C. Following the storage period, the samples were subjected to SDS-PAGE analysis (10% resolving gel) to assess protein integrity and potential degradation.

In addition, the antigen-binding activity of the stored IgY samples was evaluated using indirect ELISA. The assay employed outer membrane proteins (OMPs) of MDR S. Typhimurium as the coating antigen at a 1:50 dilution, while the IgY samples were used as primary antibodies at a 1:100 dilution. The ELISA results were used to determine the retention of immunoreactivity of IgY after storage under different temperature conditions.

Results

Purification of IgY from egg yolk

IgY was successfully purified from egg yolk, resuspended in 1× PBS, and stored in 1 mL aliquots at –20 °C for further use.

Comparison of antibody titre in serum and egg yolk

The mean optical density (O.D.) values obtained by indirect ELISA indicated dynamic changes in the antibody titres over the course of immunization. In the serum, a progressive increase in antibody concentration was observed up to the 4th week, followed by a decline in the 6th week. A slight fluctuation was noted at the 8th week, after which the titre began to rise again. From the 10th week onward, serum antibody levels remained relatively stable, maintaining a consistent titre through the 15th week. These observations suggest an initial robust immune response, followed by minor dips, and a subsequent plateau phase of sustained antibody production.

In the egg yolk-derived IgY, the O.D. values showed a gradual increase up to the 4th week, followed by a more marked rise in the 5th week. A decline was recorded in the 6th week, with a subsequent increase beginning in the 7th week and a dip again at the 11th week. From the 12th week to the 15th week, IgY titres remained relatively constant. These fluctuations in O.D. values reflect the variations in specific IgY levels produced in response to the OMP antigen.

The peak antibody titre in serum was observed at the 11th week, while the highest IgY concentration in egg yolk was recorded at the 13th week (Figure 1). The rise and fall in the O.D. values across different time points underscore the dynamic nature of the immune response and the kinetics of antibody deposition in egg yolk.

Figure. 1. Weekly variation in antibody titres in serum and egg yolk during the hyperimmunization of layer hens. The graph illustrates the gradual rise and fall in optical density (O.D.) values of antibodies against the outer membrane protein (OMP) antigen of <em>S. Typhimurium</em>. The pattern of antibody response in serum closely mirrors that observed in egg yolk. The peak antibody titre in serum was recorded at the 11th week, while the maximum titre in egg yolk was observed at the 13th week.

Characterization of purified IgY

SDS-PAGE and Western Blot analysis

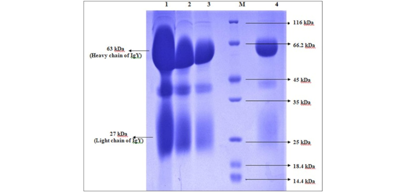
SDS-PAGE analysis of the purified IgY preparation revealed two distinct protein bands at approximately 63 kDa and 27 kDa, corresponding to the heavy and light chains of chicken IgY, respectively (Figure 2). These results confirmed the successful isolation and purity of the IgY fraction.

Figure. 2. SDS-PAGE analysis of purified IgY preparations. Lane M: Unstained protein molecular weight marker (ThermoScientific);Lanes 1–4: Purified IgY samples loaded at concentrations of 214 µg, 85 µg, 43 µg, and 21 µg, respectively.Two major protein bands were observed at approximately 63 kDa and 27 kDa, corresponding to the heavy and light chains of IgY, respectively, confirming the integrity and purity of the isolated antibody fractions.

Western blot analysis was performed using OMPs of MDR S. Typhimurium (1:20 dilution) as the antigen and the purified IgY as the primary antibody. Upon development with DAB, several protein bands were visualized on the nitrocellulose membrane, indicating specific binding between the IgY and OMPs. Major immunoreactive bands were observed at molecular weights of approximately 11 kDa, 15 kDa, 19 kDa, 31 kDa, 33 kDa, and 37 kDa. Additionally, several minor bands were detected at 49 kDa, 56 kDa, 66 kDa, and 90 kDa (Figure 3).

The presence of distinct bands at various molecular weights confirms the heterogeneity of the OMP antigen and the broad reactivity of the IgY antibodies. Notably, the OMP bands were consistently detected across a range of IgY dilutions, from 1:50 to 1:500, indicating high specificity and sensitivity of the antibody preparation.

Figure. 3. Western blot analysis of outer membrane proteins (OMPs) of MDR <em>S. </em><em>Typhimurium</em> using purified IgY as the primary antibody. Lane M: Pre-stained protein molecular weight marker (Genetix);Lane 1: OMPs (1:20 dilution).Major immunoreactive bands were detected at approximately 11 kDa, 15 kDa, 19 kDa, 31 kDa, 33 kDa, and 37 kDa, with additional minor bands at 49 kDa, 56 kDa, 66 kDa, and 90 kDa. The observed banding pattern confirms the antigen-antibody specificity between the purified IgY and the OMPs of MDR <em>S. Typhimurium</em>.

Quantification of IgY

The total protein concentration of the purified IgY suspension, as determined by the Lowry method, was found to be 14.246 mg/mL. The final IgY pellet obtained from a single egg, containing approximately 15 mL of egg yolk, was resuspended in 3.5 mL of 1× PBS. Based on this volume and concentration, the total yield of IgY from a single egg was calculated to be approximately 49.861 mg.

To determine the concentration of antigen-specific IgY and assess the purity of the preparation, radial immunodiffusion (RID) was performed. The specific IgY concentration was estimated to be 12.023 mg/mL, indicating a purity of 84.40% in the IgY suspension. Accordingly, the total amount of specific IgY that could be recovered from a single egg was calculated to be approximately 42.08 mg.

These results demonstrate that the employed isolation and purification protocol effectively yielded high concentrations of specific IgY, with a high degree of purity suitable for downstream applications.

Agarose gel immunodiffusion (AGID) and Dot Enzyme Immunoassay

The IgY suspension demonstrated positive reactivity against OMPs in the agarose gel immunodiffusion assay, with the formation of three distinct precipitin lines. This indicates the presence of antibodies with at least three different specificities within the IgY preparation.

Further confirmation of specificity was obtained through Dot ELISA. When OMPs (1:20 dilution) were used as the antigen and IgY at 1:50 and 1:500 dilutions as the primary antibody, a clear chromogenic reaction was observed. The appearance of distinct brown-coloured dots confirmed the binding of the IgY to the OMP antigens of MDR S. Typhimurium, indicating strong and specific antigen–antibody interaction (Figure 4).

Figure. 4. Dot enzyme immunoassay (Dot ELISA) demonstrating the interaction between outer membrane proteins (OMPs) of MDR <em>S. </em><em>Typhimurium</em> and purified IgY antibodies. OMPs (1:20 dilution) were used as the coating antigen, and purified IgY was applied as the primary antibody at 1:50 and 1:500 dilutions. The development of distinct brown-coloured dots indicates a strong and specific antigen–antibody reaction, confirming the specificity of the IgY antibodies derived from the egg yolk of hyperimmunized hens.

Effect of temperature on the activity and stability of IgY

To assess the thermal stability of IgY, aliquots of the purified antibody were stored at various temperatures ranging from –40 °C to 37 °C for a period of six months. Samples stored at –40 °C, –20 °C, and 4 °C were additionally monitored for nearly one year. Following storage, the samples were evaluated for structural integrity and antigen-binding activity using SDS-PAGE and indirect ELISA, respectively.

A very slight blackish discoloration was noted on the surface of the IgY samples stored at room temperature, possibly indicating the onset of minor oxidative changes. However, the ELISA optical density (O.D.) values indicated that IgY activity remained largely unaffected across all tested storage temperatures, with only minimal variation. This highlights the robust thermal stability of IgY over extended storage periods. Notably, a slight reduction in ELISA reactivity was observed in the sample stored at –40 °C (Table II), though the difference was not substantial.

These findings confirm that IgY is a remarkably stable molecule, retaining both structural integrity and immunoreactivity across a wide temperature range, making it well-suited for long-term storage under diverse conditions.

Table. II. Optical density (O.D.) values (Mean ± S.E.) obtained by indirect ELISA for IgY samples stored at different temperatures. Means bearing different superscripts indicate statistically significant differences (<em>p</em> ≤ 0.05).

Discussion

Salmonella enterica has emerged as a major zoonotic, foodborne pathogen, with S. Typhimurium being one of the most prevalent serotypes exhibiting aggressive antimicrobial resistance (AMR) over the past few decades (Prestinaci et al., 2017). The rising threat posed by AMR has spurred interest in alternative therapeutic approaches, among which egg-derived antibodies (IgY) represent a promising, scalable, and cost-effective solution (Chala et al., 2015; Dixit et al., 2016).

IgY production from hen's eggs is significantly more efficient compared to mammalian systems, with reported yields approximately 300 times greater than those obtained from rabbit blood. Literature indicates that 100–200 mg of IgY can be extracted from a single egg, with 2–10% of the total being antigen-specific (Munhoz et al., 2014), making this approach particularly suitable for large-scale production. IgY antibodies have demonstrated stability under food processing conditions and are already being applied in diagnostics, therapeutics, prophylaxis, immunochemical assays, and as modulators in food and feed (Amro et al., 2018).

In this study, IgY antibodies were successfully generated against outer membrane proteins (OMPs) of a multidrug-resistant (MDR) S. Typhimurium isolate. The specificity of the IgY was confirmed through various serological assays, including agar gel immunodiffusion, dot ELISA, indirect ELISA, and Western blotting. These findings demonstrate the potential use of IgY as a diagnostic or therapeutic tool for the management of MDR Salmonella infections.

Consistent with previous reports (Lee et al., 2021), our study showed that only two immunizations were sufficient to elicit a strong humoral response in layer hens, with antibody titres persisting in the eggs for several weeks. Rhode Island Red (RIR) layers were found to produce higher IgY concentrations compared to White Leghorn layers (Amro et al., 2018), reinforcing their suitability for IgY-based biotechnological applications.

The dextran sulphate method used for IgY purification proved to be efficient, yielding high-purity preparations, as evidenced by the presence of two major bands at 63 kDa and 27 kDa on SDS-PAGE, corresponding to the heavy and light chains of IgY (Zhen et al., 2008; Malekshahi et al., 2011). Quantification by the Lowry method and radial immunodiffusion (RID) confirmed a high concentration of total and specific IgY, supporting the suitability of this method for bulk IgY production (Rani et al., 2012; Li et al., 2015).

The specificity of the IgY antibodies toward the OMPs was clearly demonstrated. Immunodiffusion revealed three precipitin lines, suggesting the presence of antibodies with at least three distinct antigen specificities. Dot ELISA further validated the antigen–antibody interaction by producing distinct brown-coloured dots, even at a 1:500 IgY dilution, confirming high specificity and sensitivity.

Western blot analysis revealed strong reactivity of IgY against several OMP bands at molecular weights of 11 kDa, 15 kDa, 19 kDa, 31 kDa, 33 kDa, and 37 kDa, with additional minor bands at 49 kDa, 56 kDa, 66 kDa, and 90 kDa. These findings confirmed the complementarity between the IgY and various immunogenic components of the OMPs, consistent with previous studies such as that of Imberechts et al. (1997).

The temporal profile of antibody titres in serum and yolk showed a similar pattern, with serum titres peaking approximately two weeks earlier than those in the yolk, aligning with previous findings on IgY kinetics (Shi et al., 2017). Similar observations have been made for antibodies against E. coli Stx2e, with IgY titres stabilizing around 30 days and maintained for over 90 days post-immunization.

Stability testing of IgY revealed remarkable thermal resilience. Aliquots stored at –40 °C, –20 °C, and 4 °C for up to a year maintained their immunoreactivity, as did those stored for six months at room temperature and 37 °C. While a slight blackish discoloration was noted on the surface of samples kept at room temperature—likely due to microbial contamination—their antigen-binding activity remained largely unaffected in ELISA and SDS-PAGE. Interestingly, our results contrast with earlier findings that reported loss of activity at 37 °C after one month (Nilsson et al., 2012), as we observed retention of functional activity even after six months.

Previous studies have also confirmed IgY’s thermal resilience, with some reporting no loss of antibody activity even after cooking at 100 °C for six minutes (Losch et al., 1986). Our findings support these observations and further demonstrate that IgY retains its structural and functional stability across a broad temperature range (30–70 °C), as also noted by Pereira et al. (2019).

In conclusion, the present study confirms the successful production of specific IgY against OMPs of MDR S. Typhimurium, its high yield and purity, as well as its specificity and stability under various storage conditions. These results strongly support the application of IgY in the development of cost-effective diagnostic, prophylactic, and potentially therapeutic solutions targeting MDR bacterial pathogens.

Conclusion

In summary, the present study successfully demonstrated the production of antigen-specific IgY antibodies against multidrug-resistant (MDR) Salmonella enterica serovar Typhimurium. The purified IgYs exhibited strong and specific serological reactivity against the target bacterium, confirming their potential application as therapeutic, prophylactic, and diagnostic agents. The ability to generate substantial quantities of specific IgY from the eggs of hyperimmunized hens in a cost-effective and non-invasive manner highlights the scalability and feasibility of this approach for industrial and biomedical applications.

Acknowledgement

Financial assistancereceived by ICMR is deeply acknowledged.

Funding information

This study was carried out as a research activity funded as Junior research fellowship granted by ICMR, New Delhi, India.

Conflict of interest

The authors declare that they have no competing interests.

Author’s contribution

AT has performed the experimental work, designed and drafted the manuscript. RK and AM has conceptualized and designed the work and reviewed the manuscript. GP, NS and AT has helped in the experimental work. All authors read and approved the manuscript.

Author Biographies

Garima Pandey, Department of Veterinary Microbiology, College of Veterinary and Animal Sciences, G. B. Pant University of Agriculture & Technology, Pantnagar-263145, India

Department of Veterianry Microbiology, Ph.D. student

Namita Shukla, Department of Veterinary Microbiology, College of Veterinary and Animal Sciences, G. B. Pant University of Agriculture & Technology, Pantnagar-263145, India

Department of Veterianry Microbiology, Ph.D. student

Anupama Mishra, Central Agricultural University, Imhpal India

College of Community Sciences, Tura. Meghalaya, India Professor & head

Anuj Tewari, Department of Veterinary Microbiology, College of Veterinary and Animal Sciences, G. B. Pant University of Agriculture & Technology, Pantnagar-263145, India

Department of Veterianry Microbiology, Assistant Professor

References

Amro W.H., Al-Qaisi W. & Al-Razem F. 2018. Production and purification of IgY antibodies from chicken egg yolk. J of Genetic Engg and Biotechnol, 16, 99-103.

Brunelle B.W., Bearson B.L., Bearson S.M.D. & Casey T.A. 2017. Multidrug-resistant Salmonella enterica serovar Typhimurium isolates are resistant to antibiotics that influence their swimming and swarming motility. mSphere, 2, 306-317.

Chala G., Hailu B. & Mandefro A. 2015. A Review on: Antibody Engineering for Development of Therapeutic Antibodies. Int J of Immunol, 3(3), 27-36.

Choi- Kim K., Maheswaran S.K., Felice L.J. & Molitor T.W. 1991. Relationship between the iron regulated Omp and the Omp of in vivo grown Pasteurella multocida. Vet Microbiol, 28(1), 75-92.

Dixit R., Herzb J., Daltonc R. & Booya R. 2016. Benefits of using heterologous polyclonal antibodies and potential applications to new and undertreated infectious pathogens. Vaccine, 34, 1152-1161.

Dudek B., Krzyżewska E., Kapczyńska K., Rybka J., Pawlak A. & Korzekwa, K. 2016. Proteomic Analysis of Outer Membrane Proteins from Salmonella Enteritidis Strains with Different Sensitivity to Human Serum. PLoS ONE, 11(10), 164-69.

Duncan D.B. 1955. Multiple range and multiple F- tests. Biometrics, 11, 1-42.

Edzard S., Ingke B., Kerstin G., Henning S., Simon B. & Dion P. Avian IgY antibodies and their recombinant equivalents in research, diagnostics and therapy. Biologicals, 40, 313-322.

Gadde U., Rathinam T. & Lillehoj H.S. 2015. Passive immunization with hyperimmune egg-yolk IgY as prophylaxis and therapy for poultry diseases – A review. Ani Health Res Rev, 16(2), 163-176.

Hadge D., & Anbrosuius H. 1984. Evolution of low molecular weight immunoglobulins-IV: IgY-like immunoglobulins of birds, reptiles and amphibians, precursors of mammalian IgA. Mol Immunol, 2, 699-707.

Hodek H.P., Trefil P., Simunek J., Hudecek J. & Stiborova M. 2013. Optimized protocol of chicken antibody (IgY) purification providing electrophoretically homogenous preparations. Int J Electrochem Sci, 8, 113-124.

Imberechts H., Deprez P., Van Driessche E. & Pohl P. 1997. Chicken egg yolk antibodies against F18ab fimbriae of Escherichia coli inhibit shedding of F18 positive E. coli by experimentally infected pigs. Vet Microbiol, 54(3-4), 329-341.

Isibasi A., Ortiz V., Vargas M., Paniagua J., Gonzalez C., Moreno J. & Kumate J. 1988. Protection against Salmonella typhi Infection in Mice after Immunization with Outer Membrane Proteins Isolated from Salmonella typhi 9,12,d,Vi. Infection and Immunity, 2953-2959.

Klemperer F. 1893. UebernatürlicheImmunitätundihreVerwerthung für die immunisirungstherapie. Archiv. Für ExperimentellePathologie und Pharmakologie, 31, 356-382.

Kota R.K., Srirama K. & Reddy P.N. 2019. IgY antibodies of chicken do not bind staphylococcal binder of immunoglobulin (Sbi) from Staphylococcus aureus. Ann Microbiol., 69, 531–540.

Kovacs-Nolan J & Mine Y. 2012. Egg yolk antibodies for passive immunity. Annu Rev Food Sci Technol. 3, 163-82.

Kumar R., Chandra R., & Shukla S.K. 2003. Isolation of etiological agent of hydropericardium syndrome in chicken embryo liver cell culture and its serological characterization. Ind J Exp Biol, 41, 821-826.

Lee L., Samardzic K., Wallach M., Frumkin L.R. & Mochly-Rosen D. 2021. Immunoglobulin Y for Potential Diagnostic and Therapeutic Applications in Infectious Diseases. Front Immunol, 12, 696003.

Li X., Wang L., Zhen Y., Li S. & Xu Y. 2015. Chicken egg yolk antibodies (IgY) as non-antibiotic production enhancers for use in swine production: a review. J of Ani Sc and Biotechnol, 6(1), 40.

Losch U., Schranner I., Wanke R. & Jurgens L. 1986. The chicken egg, an antibody source. J of Vet Med, 33, 609–619.

Malekshahi Z.V., Gargari S.L.M., Rasooli I., & Ebrahimizadeh W. 2011. Treatment of Helicobacter pylori infection in mice with oral administration of egg yolk-driven anti-UreC immunoglobulin. Microb Pathog, 51, 366-372.

Munhoz LS., et al. 2014. Avian IgY antibodies: characteristics and applications in immunodiagnostic. Ciência Rural, Santa Maria 44.1, 153-160.

Nilsson E., Stålberg J. & Larsson A. 2012. IgY stability in eggs stored at room temperature or at +4 C. British Poult Sc, 53(1), 42-46.

Pereira E., van Tilburg M.F., Florean E., & Guedes, M. 2019. Egg yolk antibodies (IgY) and their applications in human and veterinary health: A review. Int Immunopharmacol, 73, 293-303.

Prestinaci F., Pezzotti P. & Pantosti A. 2015. Antimicrobial resistance: a global multifaceted phenomenon. Pathog Glob Health. 109(7), 309-318.

Rani V., Kumar R., Upadhyay A.K. & Kumar M. 2012. Therapeutic Efficacy of Chicken Egg Yolk Immunoglobulins against hydropericardium syndrome in broiler Chickens. Ind J Anim Sci. 82(6), 552-556.

Reddy P.N., Nagaraj S., Sripathy M.H. & Batra H.V. 2015. Use of biotin-labeled IgY overcomes protein A interference in immunoassays involving Staphylococcus aureus antigens. Ann Microbiol. 65(4), 1915–1922.

Serrano-Fujarte I., Calva E., García-Domínguez J. et al. 2024. Population structure and ongoing microevolution of the emerging multidrug-resistant Salmonella Typhimurium ST213. npj Antimicrob Resist. 2, 10.

Shi H., Zhub J., Zouc B., Shic L., Duc L., Longc Y., Wangd H., Xud H., Zhenc Y. & Suna L. 2017. Effects of specific egg yolk immunoglobulin on pan-drug-resistant Acinetobacter baumannii. Biomed & Pharmacoth. 95, 1734–1742.

Snedecor G.W. & Cochran W.G. 1994. Statistical Methods, New Delhi: Oxford and IBM Publications. pp 265.

Tesar D.B., Cheung E.J. & Bjorkman P.J. 2008. The chicken yolk sac IgY Receptor, a mammalian mannose receptor family member, transcytoses IgY across polarized epithelial cells. Mol Biol Cell., 19(4), 1587-1593.

Tiwari A., Kumar R. & Pandey G. 2021. Outer membrane proteins (OMPs) profiling of a field isolate of Salmonella Typhimurium: Isolation and characterization. The Pharma Innovation J. 10(2), 395-398.

Tiwari A., Kumar R. & Khanduri A. 2023. Egg-Derived Antibodies: An Effective Tool in Combating Anti-Microbial Resistance. Acta Sci Vet Sci. 5.10, 21-28.

Towbin H., Staehelin T. & Gordon J. 1979. Electrophoretic transfer of proteins from polyacrylamide gels to nitrocellulose sheets: procedure and some applications. Proceedings of the National Academy of Sciences, 76(9), 4350-4354.

Xu Z., Wang M., Zhou C. ,Gu G., Liang J., Hou X., Wang M. & Wei P. 2020. Prevalence and antimicrobial resistance of retail-meat-borne Salmonella in southern China during the years 2009–2016: the diversity of contamination and the resistance evolution of multidrug-resistant isolates. Int. J. Food Microbiol. 333, 108790.

Zhen Y.H., Jin L.J., Guo J., Li X.Y., Lu Y.N., Chen J. & Xu Y.P. 2008. Characterization of specific egg yolk immunoglobulin (IgY) against mastitis-causing Escherichia coli. Vet Microbiol, 130(1-2), 126-133.

Downloads

Published

2025-04-14

How to Cite

Tiwari, A., Kumar, R., Pandey, G. ., Shukla, N. ., Mishra, A., & Tewari, A. (2025). Production and Characterization of Egg-Derived Antibodies (IgY) Against Outer Membrane Proteins of Multidrug-Resistant Salmonella enterica Serovar Typhimurium. Veterinaria Italiana, 61(2). https://doi.org/10.12834/VetIt.3565.31552.3

Issue

Topics*

Paper

Funding data