Serological and molecular study on caprine brucellosis in Puducherry (India) and its public health significance

Authors

  • Abhishek Madan Department of Veterinary Public Health and Epidemiology, Rajiv Gandhi Institute of Veterinary Education and Research (RIVER), Kurumbapet, Puducherry 605009, India
  • Gururaj Kumaresan ICAR-Central Institute for research on Goats
  • Bhanu Rekha Department of Veterinary Public Health and Epidemiology, Rajiv Gandhi Institute of Veterinary Education and Research (RIVER), Kurumbapet, Puducherry 605009, India
  • Dimple Andani Division of Animal Health, CIRG, Makhdoom, Mathura, Uttar Pradesh-281122, India
  • Anil Kumar Mishra Division of Animal Health, CIRG, Makhdoom, Mathura, Uttar Pradesh-281122, India
  • Ajay Kumar Department of Veterinary Public Health and Epidemiology, Rajiv Gandhi Institute of Veterinary Education and Research (RIVER), Kurumbapet, Puducherry 605009, India
  • Thanislass Jacob Department of Veterinary Biochemistry, Rajiv Gandhi Institute of Veterinary Education and Research (RIVER), Kurumbapet, Puducherry 605009, India
  • Kavitha Vasudevan Department of Community Medicine, Indira Gandhi Medical College and Research Institute, Kadirgamam, Puducherry 605009, India

DOI:

https://doi.org/10.12834/VetIt.3201.25494.2

Keywords:

Brucella melitensis, Caprine brucellosis, OMP31TaqMan®PCR, Public health, Puducherry

Abstract

Caprine brucellosis due to Brucella melitensis is an important zoonotic disease. The present study was carried out to address the lack of a comprehensive study on the status of caprine brucellosis in Puducherry, India using serological and molecular tests in goats and to assess the seroprevalence in human risk groups of the aforementioned region to ascertain the public health significance of the disease. Seroprevalence in 120 goats was found to be zero, 3.33% and 18.33% by Rose Bengal agglutination Test (RBT), Standard Tube Agglutination Test (STAT) and Immunoglobulin G Indirect Enzyme Linked Immune Sorbant Assay (IgG iELISA) respectively. Of the 120 goat genital swabs screened, while conventional polymerase chain reaction (PCR) detected genus specific 16S rRNA and Brucella melitensis specific omp2 genes in 17.50% and 5.00% of samples respectively, the OMP31TaqMan® real time PCR with a positive detection of 40.00% was both the most sensitive and specific for detection of Brucella melitensis. The study provides insight into the optimization of diagnostic tests following cluster wise sampling for brucellosis in goats. The strain of Brucella melitensis in Puducherry was found to be Biovar 3 based upon suggestive results of Restriction Fragment Length Polymorphism (RFLP) of omp2 gene product. Seroprevalence by IgG iELISA was 33.33 % in 30 samples from human subjects. Serological evidence of caprine brucellosis in goats and human subjects and molecular detection of Brucella melitensis in Puducherry, India warrants regular screening, surveillance and reporting of disease in goats and human risk groups.

Introduction

Caprine brucellosis due to Brucella melitensis (B. melitensis) is an important zoonotic disease. It is more prevalent in the tropical and sub-tropical regions of the world and is marked as a neglected tropical disease (NTD) with significant economic impact in developing countries such as India (Rossetti et al. 2017). The disease manifests itself in the goat populations primarily in the reproductive and placental tissues leading to abortion in female goats while generalized bacteraemia affecting a wide range of organ systems is also possible. The most virulent cause of brucellosis in human subjects is B. melitensis (Benkirane 2006, Corbel 2006). Human risk groups such as veterinarians, farmers, laboratory personnel etc. may contract infection from goat populations and show wide range of clinical symptoms affecting various organ systems of which Undulating Fever (Pyrexia of Unknown Origin) is the most commonly manifested (Jim 2012).

Although isolation by culture is the gold standard for diagnosis of brucellosis, the zoonotic nature of the bacteria, long incubation conditions and need for bio-safety cabinets form considerable drawbacks (Seleem et al. 2010, Yu et al. 2010). Thus, various indirect (serological) and direct (molecular) tests are envisaged for the screening and diagnosis of brucellosis in both goats as well as human subjects. Of the indirect tests, the Rose Bengal agglutination Test (RBT), Standard tube agglutination test (STAT), 2 Mercaptoethanol precipitation test (2ME) and Enzyme Linked Immune Sorbant Assays (ELISA’s) are used predominantly for knowing the status of brucellosis in goat populations (Garin-Bastuji et al. 2006) as well as humans due to B. melitensis (Corbel 2006). As far as molecular screening is considered, various types of polymerase chain reactions (PCR) such as simple or multiplex, real time systems (SYBR®Green or TaqMan® probes) and Loop mediated isothermal Amplification (LAMP) have been used which target genes either at the genus level (bscp31, IS1711 or 16S rRNA) or species level (omp31, omp2, and genes coding for other outer membrane proteins) for B. melitensis (Garin-Bastuji et al. 2006, Romero et al. 1995). For strain identification, Restriction Fragment Length Polymorphisms (RLFP) of various gene products (omp22, omp25, omp31 and omp2) has been used. Other methods include sequencing using Multiple Locus Variable tandem Analysis (MLVA) or Multi Locus Sequencing analysis (MLSA) (Gupta et al. 2014).

Studies on brucellosis in goats in various states of India show that the seroprevalence ranges from 1.14 % to 18.77 % (Sharma et al. 2016, Kaur et al. 2019). Also, molecular screening from the suspected field samples has revealed that B. melitensis DNA can have an occurrence between 13.33 % and 49.05 % (Gupta et al. 2012, Saini et al. 2017) based on nucleic acid amplification tests. Molecular typing suggests that the most predominant variant of the B. melitensis is Biovar 3 in the country of India (Gupta et al. 2012) while strain 16M has also been reported (Sumathi et al. 2018). In at-risk human subjects, various studies on brucellosis in India show the seroprevalence in the range of 1.60 % to 16.52 % (Kumar and Nanu 2005, Sharma et al. 2016).

Puducherry region of the Union Territory (UT) of Puducherry, India has a population of 27,623 goats (Livestock Census 2019). Although prior work on caprine brucellosis has been carried out in various regions of India, to address the lack of a comprehensive study on caprine brucellosis due to B. melitensis in Puducherry, India and its public health significance in human risk groups, the present study was carried out with the following objectives: First, to report and analyse the status of caprine brucellosis due to B. melitensis based on serological tests and nucleic acid amplification techniques following scientific cluster sampling of the goat populations in Puducherry and second, to know the seroprevalence of brucellosis in human risk groups of Puducherry, India to ascertain the zoonotic implications of the disease.

Materials and methods

Ethical and regulatory approval

The study was approved by the Institute Research Committee at Rajiv Gandhi Institute of Veterinary Education and Research (RIVER), Puducherry, India. For human sampling, ethical permission and approval was obtained from Institute Ethics Committee (IEC), Indira Gandhi Medical College and Research Institute (IGMC & RI), Puducherry, India, vide letter No. 305/IEC-30/IGMC&RI/PP/2020 dated 02.12.2020.

Sampling plan

For sampling of goats in the study, 12 clusters (3 farms/organized clusters and 9 villages/unorganized clusters) were identified randomly in various regions of Puducherry in UT of Puducherry based on National Animal Disease Referral Expert System (NADRES) sampling tool developed at Indian Council of Agricultural Research - National Institute of Veterinary Epidemiology and Disease Informatics (ICAR-NIVEDI), Bengaluru, India. The sampling regions covered all major communes and geographically variable zones (Supplement I). The sampling of goats was carried out during late September to early November of the calendar year 2020. The average elevation of the sampling areas was 10 metres above mean sea level. The climatological parameters included average high temperatures of 33.1°C, 31.5°C and 29.8°C and average low temperatures of 24.9°C, 24.5°C and 23.6°C for the months of September, October and November respectively. The average rainfall in millimetres (mm) was usually 132.8, 273.9 and 350 for the months of September, October and November respectively ( as retrieved from https://en.wikipedia.org/wiki/Pondicherry). Blood (for serum) and genital swabs were collected from 10 goats randomly in each cluster (total of 120) comprising both adult male and female animals above 6 months of age.

Thirty (30) blood samples were collected from identified willing human risk groups such as veterinary interns, post graduate students and farmers (under the supervision of medical professional) over 18 years of age from Puducherry, India along with pertinent details such as their age, gender, history of animal handling and other co-morbidities (if any).

Collection and processing of samples

Goat blood and genital swabs

From each goat, approximately 6 millilitre (ml) of blood was collected by jugular venepuncture following sterile/aseptic precautions. After clot retraction, the serum obtained was transferred to microfuge tubes and centrifuged at 1200 rpm (rotations per minute) for 7 minutes.

Genital swabs were taken from both male and female animals using sterile screw cap swabs (Hi-MediaTM) giving a contact time of 10 to 20 seconds on the genital mucous membrane. The swabs were reconstituted with 1 ml of sterile phosphate buffered saline (PBS) (pH 7.2 to 7.4) and vortexed for 5 minutes.

Human blood samples

Blood (approximately 4 ml) was collected using the standard protocol approved by the Indian Council of Medical Research (ICMR) after obtaining written consent from the participants.

All samples (blood serum or reconstituted swabs) obtained were maintained either at 4°C (short term storage) or minus 20°C (long term storage) in sterile cryo-tubes until use.

Serological tests on goat blood serum

RBT

The Rose Bengal Brucella coloured antigen was procured from Institute of Animal Health and Veterinary Biologicals (IAHVB), Bengaluru, India and samples were tested using standard procedure described by Alton et al. (1988) and accordingly graded (+++, ++, + or Negative) based on the degree of agglutination.

STAT

The sera samples were tested as per the protocol outlined by OIE (2008) with slight modifications (serum was serially double diluted using carbol saline instead of normal saline) using the Brucella melitensis killed antigen (produced in-house at ICAR-CIRG according to OIE protocols). Following incubation at 37°C for 48 to 96 hours following the tubes were read either as positive result based on mesh/lattice formation or negative based on pellet formation. Positive and negative controls were maintained for comparison and interpretation of the results. For goat serum, agglutination at 1:40 or above dilutions was taken as positive by STAT.

2ME

Serum samples from goats positive in STAT were subjected to 2ME test as per the standard protocol (OIE 2008) using killed antigen produced in-house at ICAR-CIRG. The reading of the 2ME test was compared with the reading of STAT for goat serum samples and accordingly interpretation was done to decipher the stage of infection.

IgG iELISA:

The procedure followed for IgG iELISA was standardized and developed at microbiology laboratory of ICAR-CIRG using B. melitensis protoplasmic antigen (BruLISA® Kit) (Gupta et al. 2007, Saini et al. 2017). Absorbance was read at 450 nm (nanometres) in ELISA reader (iMarkTM Microplate Reader, BioRad®) and the blanked values of the OD (Optical Density) were used to calculate the sample to positive ratio (S/P ratio) which was then subjected to logical analysis.

Molecular screening of goat genital swabs

From the reconstituted swab samples, DNA was extracted by using QIAmpTM DNA Mini Kit (#51304, Qiagen®, USA) by following the manufacturer’s protocol. For molecular screening, the extracted DNA samples were divided into 5 different super-pool sets (n=24 sample cocktail DNA for each super-pool for swab DNA). Only positive super pools were divided into mini-pools (n=6). If any mini-pool showed positivity, all the individual samples in that mini-pool were subjected to PCR/qPCR. Positive control (PC) and No template control /negative control (NC/NTC) were used at every hierarchy of the samples tested.

Conventional PCR

Conventional PCR was carried out for brucella genus specific 16S rRNA gene and B. melitensis specific genes (omp31 and omp2) by the use of standardized PCR conditions (Supplement II). The PCR products thus obtained were subjected to 1.8 % submarine agarose gel electrophoresis at 100 V for 40 minutes. The gel was then visualized under ultra violet transilluminator (Alpha Innotech) following which the images were documented and interpreted as positive or negative based on the appearance of the band or the absence of the specific product band respectively.

OMP31 TaqMan® probe based real time PCR

A TaqMan® probe based real-time PCR for the analysis of omp31 gene (open reading frame) of B. melitensis was developed and standardized at the microbiology laboratory of ICAR-CIRG (Saini et al. 2017). The reaction was carried out in CFX96™ Real-time system (Bio-Rad®, USA) by using the primer set (Forward: 5’ATG TTC GCC ACG TCC GCT ATGG 3’ ; Reverse: 5’ACT TGC CGC CTG CGT AAC CG 3’) and probe (6-FAM-5’TCCTGTTGACACCTTCTCGTGG-3’-BHQ-1) under standardized conditions (Supplement II). The Relative Fluorescence Units (RFU) at the beginning and the end of the reaction mixture in concurrence with the Cq value (no. of cycles wherein sample curve intersects threshold line) was obtained following which the average RFU was found out. Sample average RFU of over and above 50 per cent of the average RFU of positive control in the reaction set and based upon logical analysis was considered to be positive whereas an average RFU over and above 100 per cent of the positive control’s average RFU was taken as strongly positive for the B. melitensis DNA in the samples tested.

Analyses of battery of tests for caprine brucellosis

The results of the tests viz. RBT, STAT, IgG iELISA, 16S rRNA PCR, omp31 PCR and omp 2 PCR were compared for their Sensitivity, Specificity, Diagnostic accuracy, Positive predictive value (PPV) and Negative predictive value (NPV) with respect to OMP31 TaqMan® qPCR (Thrusfield 2007). The tests were also analyzed in pairs for their goodness of fit by using Kappa Value (https://www.graphpad.com/quickcalcs/kappa1/) and McNemar’s test (https://www.graphpad.com/quickcalcs/mcNemar1/).

PCR - RFLP

Samples positive for omp2 gene by conventional PCR were subjected to RFLP using the PstI-HF restriction enzyme. The reaction mixture was incubated at 37°C for 30 minutes and followed by inactivation of enzyme at 65°C for 5 minutes and then maintained at 4°C in VeritiTM 96 well thermal cycler (Life Technologies, USA) until loaded into the gel. Digested omp2 PCR product and undigested omp2 PCR product (10 μl) were added along with DNA markers. Electrophoresis was then carried out at constant voltage of 80 V for 75 minutes. Then, the gel was visualized under UV trans-illuminator and images were documented and interpreted accordingly (Gupta et al. 2012).

Serological tests on human blood serum samples

Blood serum samples from human subjects were tested for brucellosis using RBT, STAT and IgG iELISA. While the procedure followed for RBT and STAT was similar to that of goat samples; STAT agglutination at dilutions over and above 1:160 were considered positive for human subjects (Corbel 2006). In the case of IgG iELISA, the protocol previously mentioned (Gupta et al. 2007) was used with the modification that rabbit anti-human IgG was used as secondary antibody.

Statistical analysis

The categorical data were expressed as percentage and the significance of differences was checked by Chi-squared test (χ2 Test) using GraphPad® Prism (v 5.0) software at 95 % confidence interval (α = 0.05).

Results

In total, 120 samples (set of blood and genital swab from each animal) were collected from 3 organized and 9 unorganized clusters in Puducherry, India. The category wise details of the samples revealed that 20 animals were males, 100 were females. Also, it was seen that 63, 54 and 3 animals belonged to the up to 1 year, 1 to 2 years and above 2 years age groups, respectively. Thirty animals belonged to the organized group of clusters while 90 belonged to the unorganized group (Table I).

Table. I. Tabulation of category wise results of battery of tests for Caprine Brucellosis (RBT, STAT, IgG iELISA, 16S rRNA PCR, omp31 PCR, omp 2 PCR and OMP31 TaqMan® qPCR) and their per cent positivity in various clusters of Puducherry. T – No. tested; P – No. positive; % - Per cent positive; NA – Not applicable; NS – Not significant.

Serological tests on goat blood serum

The seroprevalence of brucellosis in 120 goat blood serum samples by RBT, STAT and IgG iELISA was zero, 3.33 % and 18.33 %, respectively (Table II). One of the plate systems of IgG iELISA on goat serum was also shown (Figure 1). The split up of the results of serological tests in goat serum samples based on the sex of the animal/s, age group and also the major clusters was accordingly tabulated previously (Table I).

Figure. 1. Plate depicting IgG indirect ELISA in goat blood serum: (+) Positive samples, pc (Positive Control), nc (Negative Control), sc (Substrate control), and Blank.

Table. II. Tabulation of results of battery of tests for Caprine Brucellosis (RBT, STAT, IgG iELISA, 16S rRNA PCR, omp31 PCR, omp 2 PCR and OMP31 TaqMan® qPCR) and their per cent positivity in various clusters of Puducherry. T – No. tested; P – No. positive; % - Per cent positive. (BF-Bahour Farm; AK-Ariankuppam Farm; CF-RIVER Farm; KK-Karikalampakkam; BG-Bahour; ST–Sedarapet; S-Sembiapalayam; KL-Kalapet; MD-Madagadipet; MG-Mangalam; V-Villianur; TT-Thattanchavady).

Molecular screening in goat genital swabs

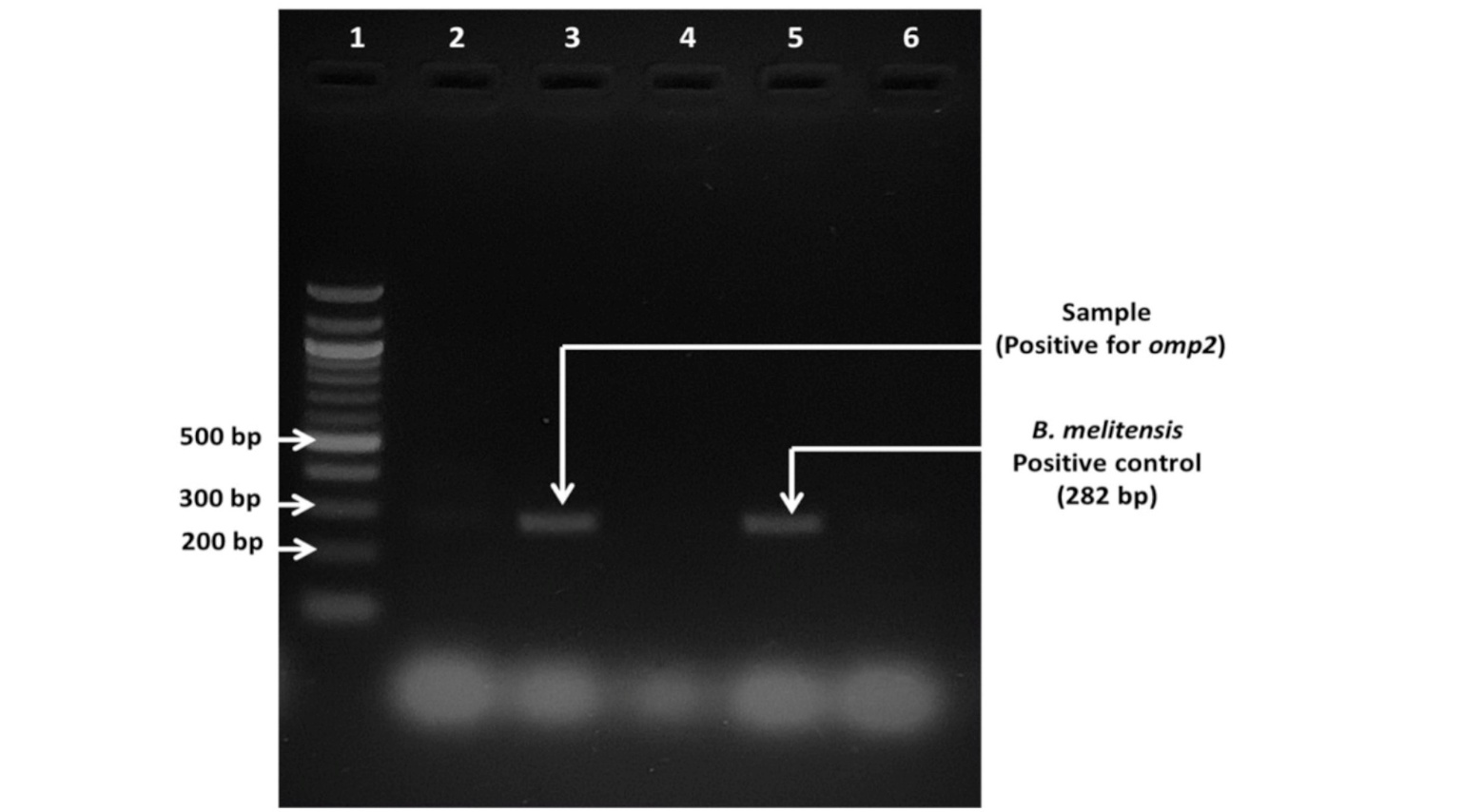
Out of the 120 samples screened, 21 samples (17.50 %), no sample and 6 samples (5.00 %) were positive for the genus specific 16S rRNA gene for Brucella (Figure 2), species specific omp31 and omp2 (Figure 3) genes, respectively by conventional PCR. Also, 48 (40.00 %) samples were positive by TaqMan® real time PCR for omp31 gene of B. melitensis (Table II). The amplification curve of unknown super-pools in the real time system has been depicted (Figure 4). The split up of the results of molecular screening in goat genital swabs based on the sex, age group and also, the major clusters were also tabulated previously (Table I).

Figure. 2. Gel picture of conventional PCR for 16S rRNA for genus Brucella (Lane 1 – 100 bp DNA marker; Lanes 2, 3, 4, 7, 8, 10, 11, 13, 14, 15, 16, 17, 18 – Negative samples<strong> </strong>; Lanes 5, 6, 9, 12 – Positive samples; Lane 19 – Positive control; Lane 20 – Negative control)

Figure. 3. Gel picture of the amplification of B. melitensis omp2 gene by conventional PCR (Lane 1-100bp DNA ladder; Lane 2, 4 – Negative samples; Lane 3 – Unknown sample (Positive); Lane 5 – Positive control - B. melitensis Biovar 3 ‘Ind’ strain; Lane 6 – Negative control)

Figure. 4. Cq amplification plot of Brucella melitensis OMP31 TaqMan® Probe real-time PCR for unknown superpools (5) along with positive and negative controls.

Analyses of battery of tests

The analyses of the various diagnostic parameters such as sensitivity, specificity, diagnostic accuracy, positive predictive value (PPV) and negative predictive value (NPV) with respect to OMP31 TaqMan® qPCR (Table III) and goodness of fit between various pairs of tests based on Kappa value and McNemar’s Test (Table IV) respectively.

Table. III. Consolidated results of diagnostic parameters of STAT, IgG iELISA, 16S rRNA PCR and omp2 PCR with respect to OMP31TaqMan®qPCR as standard. PPV – Positive Predictive Value; NPV – Negative Predictive Value.

Table. IV. Comparison of agreement of diagnostic tests for caprine brucellosis based upon Kappa value (for agreement) and McNemar’s test (for p value). Kappa value (< 0: No agreement; 0.00 and 0.20: Slight; 0.21 and 0.40: Fair; 0.41 and 0.60: Moderate; 0.61 and 0.80: Substantial; 0.81 and 1.00: Almost perfect).

PCR-RFLP

The suggestive results of RFLP of the omp2 gene product revealed the strain of B. melitensis in Puducherry to be Biotype/Biovar 3 which is a first of its kind report from Puducherry region (Figure 5).

Figure. 5. Gel picture showing PCR-RFLP of omp2 gene of Brucella melitensis. Lane 1- 100bp DNA ladder; 2,4 and 6 – PstI digested omp2 product (238bp and 44bp fragments) suggestive of B. melitensis Biovar 3; 3, 5 and 7- Undigested omp2 gene amplicon (282bp) of Brucella melitensis

Serological tests on human blood serum

Out of 30 samples tested from human subjects, while no sample was positive by RBT or STAT, 10 samples (33.33 %) were positive by IgG iELISA. The results of serological tests in human subjects based on the broad groups, gender and age of the subjects have also been accordingly tabulated (Table V).

Table. V. Tabulation of the results of serological tests on human subjects for brucellosis in Puducherry. T-Number tested; P-Number positive.

Discussion

Serological Tests on goat blood serum

All samples from goats were tested negative by RBT, which was in conflict to other reports in India which have reported a seroprevalence ranging from 1.42 % to 20.83 % (Sharma et al. 2016, Suryawanshi et al. 2016, Chandrashekhar et al. 2018, Sai et al. 2018, Saikia et al. 2019). The reasons for the negative RBT in the present study may be the following: The negative RBT results observed in this study could be attributed to several factors, including the unique physiological properties of goat serum (Corbel 2006), such as serum viscosity or natural inhibitors, which may interfere with the agglutination process, as well as the stage of infection, where low antibody titers in early or chronic infections might evade detection (Gupta et al. 2010). Secondly, it is recommended that the performance of the RBT antigen in goats be thoroughly evaluated, and an RBT assay specifically based on B. melitensis be developed and compared with the currently used B. abortus antigen.

While the seroprevalence by STAT in goats in the present study falls in similar range to a study in Jammu, India i.e. 3.42 % (Sharma et al. 2017), it was below other reports from various parts of India which showed seropositivity ranging from 7.96 per cent to 17.68 per cent (Sadhu et al. 2015, Saxena et al. 2017, Kaur et al. 2019). The seroprevalence was higher in female animals (4.00%) which may be due to higher stocking of females compared to males, as the male animals are regularly sent for slaughter (for meat). The higher seroprevalence in some pregnant female animals may also be due to the presence of erythritol in the female genital tracts (Colmenero et al. 2007). As brucellae lack fructose 6 phosphate kinase and aldolase, they intend to breakdown sugars which primarily use the HMP pathway for energy production such as erythritol and consequently this favours growth of the bacteria (Sperry and Robertson 1975). More animals were positive in the 1 to 2 years age group which may be due to the sampling nature of the present study. Also, the STAT results in the present study showed more seroprevalence in the organized group (6.67%) over the unorganized group (2.22%) which is not in line with findings of Sharma et al. (2017) who reported the unorganized group (3.44 per cent) to be almost similar in seroprevalence to the organized group (3.33 per cent). The reason for higher seroprevalence in an organized set up animals could be close proximity of the animals and also the transmission dynamics and stage of infection. The source of the antigen used for the STAT may also influence its result. In the present study, an in-house produced killed antigen based upon B. melitensis was used unlike the B. abortus antigens used elsewhere. Also, STAT is usually done for an endemic herd, where the seroprevalence is expected to be consistently high. However, in the current study, only few organized herds were sampled and majority of the samples were from unorganized clusters where farmers maintain few animals (n<10). Also it is to be noted that STAT produces some false positives due to cross reactivity with Yersinia enterocolitica ‘O’ Antigen and other shared homophilic lipopolysaccharides (LPS) and heterophilic antigens produced during other febrile illness (Saxena et al. 2018). Thus, the STAT results of the present study point to the scope of taking paired sera samples. Also in chronic diseases like brucellosis, a single most test assay cannot be relied for screening and diagnosis owing to the current recommendation of ‘test and slaughter’ policy, by which valuable germplasm might be lost. Hence, a combination or battery of assays needs to be applied to get plausible calls for declaration of results.

In total four samples (positive by STAT) were subjected to 2ME test. One of the samples showed a negative result which implied that the agglutination obtained in STAT for this sample could be due to IgM antibodies indicating an acute infection prior to the class switching of the antibodies. Three out of four samples showed agglutination up to the 1:10 dilutions and this could be due to residual IgG. Thus, in these three samples, the disease may be in the chronic transitional phase wherein both IgG and IgM were present. Thus, STAT and 2ME results in combination thus provide evidence of acute infections and infections which are transitioning into the chronic phase.

The results of the present study showed seroprevalence by IgG iELISA fairly higher to some studies (Sadhu et al. 2015, Sharma et al. 2016, Saxena et al. 2017) and slightly lower than a study by Kaur et al. (2019). Also the higher seroprevalence in female animals and also in organized group of clusters could be explained by the reasons aforementioned in the discussion on the results of STAT. In the current study, the sampling was logically planned and executed (cluster-wise sampling), where it can be explained that organized farms could have more occurrence of brucellosis due to higher density and close proximity of animals. The results also points to the management practices of the organized sector playing a crucial role in the disease dynamics. Also, it is known that iELISA is a highly sensitive test but it is possible for cross reactions to occur with the S-LPS of other bacteria. Hence, it is very important to have a consistent and standard sampling plan while targeting brucellosis by iELISA. The type of iELISA as in targeting only IgG or both IgG and IgM may also influence the results of iELISA. The results of IgG iELISA in the present study reflect the fact persistent infection in the goat populations may be tested for brucellosis using the IgG iELISA and its use as a screening test may be envisaged for caprine brucellosis which may then be confirmed by using other tests such as STAT or 2ME.

Conventional PCR

The detection of genus specific 16S rRNA gene was in nearly similar order to an earlier study conducted in Mathura, India (16.66%) which included genital swabs (Singh et al. 2013). The immunological status of the animal with respect to age may be responsible for the susceptibility of the animal to the brucellae. With regard to conventional PCR of the species specific omp31 and omp2 genes, omp31 was not detected in any of the samples but omp2 was detected in 5.00% of the samples. The reason for missing out on omp31 may be the low copies of amplicon in the sample and a lower gene base pairs target, which requires a minimum of 10 ng (nanograms) for appreciation of results in EtBr stained gel. Thus for omp31 gene of B. melitensis, the use of nested PCR’s may be explored. However, the omp2 gene of B. melitensis was detected and so it can be targeted for species specific detection of B. melitensis from field samples such as genital swabs (Bricker 2002, Kumar et al. 2019).

OMP31 TaqMan® qPCR

A study on suspected field samples from goats in U.P., India reported the detection per cent by TaqMan® chemistry to be 49.05 per cent (Saini et al. 2017) which was higher than the present study. Whereas, a study on breeding bucks in Northern India, did not detect any positives by TaqMan® qPCR in the preputial swab samples (Gangwar et al. 2020). Reasons for detection of omp31 by real time PCR over conventional PCR may be due to the fact that TaqMan®real time PCR is highly specific and sensitive (ability to detect as low as 40 femtograms of the bacterial DNA) (Saini et al. 2017). Also, specific geographical and climatic conditions which include soil pH, soil type and rainfall and humidity which may influence the survival of the brucellae. Contaminated environment may also reflect on real time PCR owing to its sensitivity (Roest et al. 2012). Advancing age may be a reason for increased susceptibility to brucellosis. In the present study, the higher occurrence of brucellae in unorganized group of clusters fits an earlier explanation of more occurrence and detection in open grazing systems (McDermott and Arimi 2002). Also, Another the fact favouring detection is that in an endemic herd there is always an infection cycle maintained in the form of transmission dynamics encompassing various animal, carrion eating birds’ in the vicinity acting as mechanical carriers. However the presence of the organism alone may not be the evidence of disease as confirmation requires concurrence with clinical picture as well as a range of diagnostic techniques.

Analyses of battery of tests

For any epidemiological setting, one standard test may not be conclusive and so using a battery of tests is recommended for diagnosis of brucellosis. Also, a combination of tests (both direct and indirect) for confirming the disease is recommended over reliance on a single test (Gupta et al. 2014). Considering the above aspects, it was also suggested that evaluation of diagnostic tests was required on a study-to-study basis as no universal standard is available for either direct or indirect diagnosis of caprine brucellosis caused by B. melitensis because of a number of variables in each study (Gupta et al. 2014). Hence, serological tests were compared with the molecular tests in the present study to show the extent of difference in their diagnostic abilities. It is not rational to compare the serological with molecular, but often diagnosis is made solely on serological tests for brucellosis which is misleading and cause poor decisions. Again, higher sensitivity with low specificity (iELISA etc.) is reason for over-reporting of brucellosis. Consolidated results of diagnostic parameters of STAT, IgG iELISA, 16S rRNA PCR and omp2 PCR with respect to OMP31TaqMan® qPCR as standard show that with respect to the serological tests, the IgG iELISA was more sensitive (14.58%) compared to STAT (6.25%). However the STAT showed more specificity and diagnostic accuracy compared to IgG iELISA (Table III). This points to the higher sensitivity of iELISA in detecting antibodies and that its combination with STAT for diagnosis of disease may be used for obtaining fairly higher specificity notwithstanding the fact that only slight agreement may be obtained in the results (Table IV). With respect to the molecular tests, the omp2 PCR showed 100% specificity and positive predictive value while the 16S rRNA PCR had higher diagnostic accuracy. This shows the fact that qPCR is more sensitive to other conventional PCRs as reported earlier (Saini et al. 2017). Also, while targeting species specific genes for B. melitensis, a combination of omp2 PCR with qPCR may be explored to obtain higher specificity and sensitivity. Also, the agreement among the various tests based upon the Kappa value and McNemar’s test has been shown which reaffirm the fact the findings stated above (Table IV).

PCR-RFLP

Prior study in Mathura India, reported similar findings wherein B. melitensis Biovar 3 was the most prevalent in India (Gupta et al. 2012) and it is the most predominant of all the biovars reported otherwise (Rao et al. 2014). However, it is to be noted that other workers have reported Biotype 1 strain of B. melitensis from Bengaluru, India, based on PCR – RFLP analysis of the omp2 gene product (Sumathi et al. 2018). The use of PCR – RFLP for the omp2 gene product is a fairly quick method for strain analysis on suspected field samples for B. melitensis (Gupta et al. 2012). Thus, for field isolates of B. melitensis, The RFLP of omp2 gene product is a reliable tool for strain identification of B. melitensis.

Serological tests on human blood serum

The inability of the RBT to detect positivity in human subjects in the present case may be due to the targeted heterogeneous population. Lower titres of antibody in case of a waning or chronic infection may not show macroscopic agglutination by a coloured antigen test alone and hence require confirmation by other tests (Corbel 2006). The nature of the antigen used in the test may also play a significant role in detecting brucellosis in human subjects. Another drawback with using the RBT is its cross reactions with other S-LPS of bacteria such as Yersinia enterocolitica O:9, Escherichia coli O:157, Vibrio cholera, Salmonella O:30 and others (Corbel 2006). Hence the RBT in case of human subjects for the use of screening brucellosis may be used as a preliminary test but it is prone to drawbacks and hence reliance on RBT alone is not recommended for diagnosis of brucellosis in humans risk groups.

The results of the present study resembled reports on STAT in a study conducted in Gujarat (Padher et al. 2018) and a study carried out earlier in Puducherry (Ranganathan et al. 2019). On the other hand, studies in Kerala and Jammu found the seroprevalence in human subjects to exhibit a range from 1.60 % to 9.09 % by STAT (Kumar and Nanu 2005, Sharma et al. 2016). The source of the plain antigen may be a cause for the results of the STAT i.e. the present study used a Brucella melitensis plain antigen in contrast to B. abortus plain antigen used elsewhere. Also, insufficient titre of antibodies in the case of chronic or waning infections may result in absence of macroscopic agglutination. Another reason for the inability of STAT in the present study to show positives may be because of prozone phenomenon and hence pre-treating the serum with heat may be explored in certain cases (Corbel 2006). While cross reactions have a chance of occurring in STAT even in the case of human subjects; the use of STAT alone as a confirmatory diagnostic test may be contraindicated in diagnosis of human brucellosis owing to its shortcomings.

In the present study, seroprevalence by IgG iELISA in human subjects was 33.33 %. In contrast, a study conducted earlier in Puducherry by Ranganathan et al. (2019) did not show any positives. Whereas, a study on human patients with PUO in Goa, India showed lower seroprevalence of 4.96% by IgG iELISA (Pathak et al. 2014). A study in Karnataka, India on 1050 human sera samples from risk groups showed lower seroprevalence at 6.76% (48). Another study by Padher et al. (45) in central Gujarat also showed lower seroprevalence by IgG iELISA at 12.00%. The detection by IgG iELISA alone may not give a comprehensive detail of the disease in human subjects until it is co-related with results of other tests, clinical signs, co-morbidities, risk factors, etc. (Shome et al. 2017). Lower titres of antibodies in the case of waning infections and possibility of previous exposure to the antigens may be detected by IgG iELISA. Also, in chronic cases and relapse of the disease in human subjects, the use of IgG iELISA may be of value as previously described (Corbel 2006).

Higher seroprevalence of brucellosis human risk groups such as veterinary students reinstates the need to follow safe handling practices Serological evidence by IgG iELISA shows probability of previous exposure and also provides considerable insight into circulaltion of the bacteria among both unorganized and organized sectors. The higher seroprevalence in farmers group may reflect the higher prevalence of the organism in the field conditions and hence higher risk in the farming communities to whom appropriate education and hygienic handling techniques need to be explained by prospective intervention studies.

Conclusion

The seroprevalence of caprine brucellosis in Puducherry, India by RBT, STAT and IgG iELISA was zero, 3.33% and 18.33% respectively in goats. With regard to RBT, the need to develop B. melitensis specific coloured antigens is required. The IgG iELISA may be used as a screening test for caprine brucellosis in larger goat populations owing to its better sensitivity and confirmation may be carried out by other tests such as STAT and 2ME. The higher seroprevalence by IgG iELISA in goats indirectly suggests that large number of animals in the geographical areas sampled could be continuously exposed to the pathogen. Population screening also emphasises the need to evaluate the on-going control programmes in a politico-geographical entity for devising better control methodologies in the future. However, for detecting the current status of Brucella infection, IgM iELISA should be used. Molecular screening revealed occurrence of genus specific 16S rRNA gene in 17.50% and species specific omp2 gene in 5.00% of the genital washings by conventional PCR. The OMP31TaqMan® qPCR is advocated for the molecular detection of B. melitensis as it detected 40 % positivity (which included all samples positive in conventional PCR) in the genital swab samples. The optimization and use of a battery of tests is projected to be of value on knowing the status of caprine brucellosis. Also, in future, steps are required to differentiate the live brucellae from dead bacilli using mRNA based PCR detection methods which precisely could improve the understanding of the passive and active carrier status. By this, it is possible to accurately report and adjust the brucella prevalence as serological tests and other tests with higher sensitivity tend to over-report the prevalence of brucellosis. In a first, the strain of B. melitensis in Puducherry is reported to be Biovar 3 based on the suggestive result of the RFLP of the omp2 gene product. Serological and molecular evidence of caprine brucellosis establishes the need for regular screening, monitoring of movement, surveillance and reporting of disease in goats. Also, vaccination in goats may be explored. Human risk groups need to be screened for brucellosis on a regular basis as there is evidence of seroprevalence by IgG iELISA (33.33 %) indicating indirectly the exposure to the pathogen. Also, in human handlers such as farmers, intervention studies to train them on safe management and handling practices need to be carried out. The present study apart from being cross-sectional, serves as a base warranting and providing the scope for detailed spatial and temporal studies to be carried out in future regarding caprine brucellosis and its public health significance. Knowing the public health implications of brucellosis due to B. melitensis, the multi-sectorial “One Health Approach” to frame diagnostic, control and eradication strategies needs to be explored given the always evolving disease dynamics and epidemiology.

Acknowledgements

The research was carried out under a memorandum of understanding between Rajiv Gandhi Institute of Veterinary Education and Research (RIVER), Puducherry, India and Indian Council for Agricultural Research – Central Institute for Research on Goats (ICAR – CIRG), Uttar Pradesh, India. The authors acknowledge the grants and infrastructure aid provided by the participating institutions for this Master’s programme research work.

Competing Interests/Conflict of Interest

The authors do not have any conflict of interests.

References

Alton G.G., Jones L.M., Angus R.D. & Verger J.M. 1988. Techniques for the brucellosis laboratory. In Paris, Institut National de la Recherche Agronomique (INRA).

Benkirane A. 2006. Ovine and caprine brucellosis: World distribution and control/eradication strategies in West Asia/North Africa region. Small Ruminant Res, 62(1-2), 19-25. https://doi.org/10.1016/j.smallrumres.2005.07.032.

Bricker B.J. 2002. PCR as a diagnostic tool for brucellosis. Vet Microbiol, 90 (1-4), 435-446. https://doi.org/10.1016/S0378-1135(02)00228-6 .

Chandrashekar K.M., Pasha S., Sharada R., Kumar G.N., Dodamani S. & Shivakumar M.C. 2018. Seroprevalence of brucellosis in small ruminants in and around Hassan, Karnataka, India. Vet Pract, 19 (1), 101-104.

Colmenero J.D., Munoz-Roca N.L., Bermudez P., Plata A., Villalobos A. & Reguera J.M. 2007. Clinical findings, diagnostic approach, and outcome of Brucella melitensis epididymo-orchitis. Diagn Micr Infec Dis, 57 (4), 367-372. https://doi.org/10.1016/j.diagmicrobio.2006.09.008.

Corbel MJ. 2006. Brucellosis in humans and animals. World Health Organization.

Gangwar C., Kumaresan G., Mishra A.K., Kumar A., Pachoori A., Saraswat S. & Kharche S.D. 2020. Molecular detection of important abortion‐causing microorganisms in preputial swab of breeding bucks using PCR‐based assays. Reprod Domest Anim, 55 (11), 1520-1525. https://doi. org/10.1111/rda.13801.

Garin-Bastuji B., Blasco J.M., Marin C. & Albert D. 2006. The diagnosis of brucellosis in sheep and goats, old and new tools. Small Ruminant Res, 62 (1-2), 63-70. https://doi.org/10.1016/j.smallrumres.2005.08.004.

Gupta V.K., Verma D.K., Singh S.V. & Vihan V.S. 2007. Serological diagnostic potential of recombinant outer membrane protein (Omp31) from Brucella melitensis in goat and sheep brucellosis. Small Ruminant Res, 70 (2-3), 260-266. https://doi.org/10.1016/j.smallrumres.2006.01.012.

Gupta V.K., Kumari R., Vohra J., Singh S.V. & Vihan V.S. 2010. Comparative evaluation of recombinant BP26 protein for serological diagnosis of Brucella melitensis infection in goats. Small Ruminant Res, 93 (2-3), 119-125. https://doi.org/10.1016/j.smallrumres.2010.05.009.

Gupta V.K., Vohra J., Kumari R., Gururaj K. & Vihan V.S. 2012. Identification of Brucella isolated from goats using PstI site polymorphism at OMP2 gene loci. Indian J Ani Sci, (3), 240. ISSN: 0367-8318.

Gupta V.K., Nayakwadi S., Kumar A., Gururaj K., Kumar A. & Pawaiya R.S. 2014. Markers for the molecular diagnosis of brucellosis in animals. Adv Anim Vet Sci, 2 (3), 31-39. http://dx.doi.org/10.14737/journal.aavs/2014/2.3s.31.39.

Gupta V.K., Shivasharanappa N., Kumar V. & Kumar A. 2014. Diagnostic evaluation of serological assays and different gene based PCR for detection of Brucella melitensis in goat. Small Ruminant Res, 117 (1), 94-102. https://doi.org/10.1016/j.smallrumres.2013.11.022.

Graphpad Kappa Interrater Agreement: As retrieved from: https://www.graphpad.com/quickcalcs/kappa1/.

Graphpad McNemar’s Test: As retrieved from: https://www.graphpad.com/quickcalcs/mcNemar1/.

Jim K. 2012. Public Health Implications of Brucella canis. In: Summary Findings and Recommendations of the Brucella canis Workgroup. Publisher: National Association of State Public Health Veterinarians (NASPHV).

Kaur N., Sharma N.S., Kaur P., Sandhu Y. & Kashyap N. 2019. Seroprevalence Studies on Caprine Brucellosis in Punjab (India). Int J Curr Microbiol App Sci, 8 (12), 851-859.

Kumar V.A. & Nanu E. 2005. Sero-positivity of brucellosis in human beings. Ind J Public Health, 49 (1), 22-24.

Kumar V., Bansal N., Nanda T., Kumar A., Kumari R. & Maan S. 2019. PCR based molecular diagnostic assays for brucellosis: A review. Int J Curr Microbiol App Sci, 8 (2), 2666-2681. https://doi.org/10.20546/ijcmas.2019.802.312.

Livestock Census. 2019. Department of Animal Husbandry and Animal welfare, Government of Puducherry (India). As retrieved from: https://ahd.py.gov.in/animal-husbandry- statistics.

McDermott J.J. & Arimi S.M. 2002. Brucellosis in sub-Saharan Africa: epidemiology, control and impact. Vet Microbiol, 90 (1-4), 111-134. https://doi.org/10.1016/S0378-1135(02)00249-3.

OIE. 2008. Caprine and Ovine Brucellosis (excluding Brucella ovis). Manual of diagnostic tests and vaccines for terrestrial animals.

Padher R.R., Nayak J.B., Brahmbhatt M.N., Patel S.M. & Chaudhary J.H. 2018. Seroprevalence of Brucella melitensis Among Small Ruminants and Humans in Anand Region of Central Gujarat, India. Int J Curr Microbiol App Sci, 7 (3), 3522-3530. https://doi.org/10.20546/ijcmas.2018.703.405.

Pathak A.D., Dubal Z.B., Doijad S., Raorane A., Rodrigues S., Naik R. & Barbuddhe S.B. 2014. Human brucellosis among pyrexia of unknown origin cases and occupationally exposed individuals in Goa Region, India. Emerg Health Threats J, 7 (1), 23846. https://doi.org/10.3402/ehtj.v7.23846.

Pondicherry (Puducherry): As retrieved from: https://en.wikipedia.org/wiki/Pondicherry.

Ranganathan U., Bhaskar M.M. & Narasimha H.B. 2019. Low incidence and the prevalence of brucellosis among patients with pyrexia of unknown origin based on real-time polymerase chain reaction, enzyme-linked immunosorbent assay and standard agglutination test results in Puducherry, South India. J Acad Clin Microbiol, 21 (2), 100. https://doi.org/10.4103/jacm.jacm_15_19.

Rao S.B., Gupta V.K., Kumar M., Hegde N.R., Splitter G.A., Reddanna P. & Radhakrishnan G.K. 2014. Draft genome sequence of the field isolate Brucella melitensis strain Bm IND1 from India. Genome announcements, 2 (3), e00497-14. https://doi.org/10.1128/genomeA.00497-14.

Roest H.J., Van Gelderen B., Dinkla A., Frangoulidis D., Van Zijderveld F., Rebel J. & Van Keulen L. 2012. Q fever in pregnant goats: pathogenesis and excretion of Coxiella burnetii. PloS One, 7 (11), e48949. https://doi.org/10.1371/journal.pone.0048949.

Romero C., Gamazo C., Pardo M. & Lopez-Goñi I. 1995. Specific detection of Brucella DNA by PCR. J Clin Microbiol 33 (3), 615-617. https://doi.org/10.1128/jcm.33.3.615- 617.1995.

Rossetti CA., Arenas-Gamboa AM. & Maurizio E. 2017. Caprine brucellosis: A historically neglected disease with significant impact on public health. PLoS Neglected Tropical Diseases, 11(8):e0005692. https://doi.org/10.1371/journal.pntd.0005692.

Sadhu D.B., Panchasara H.H., Chauhan H.C., Sutariya D.R., Parmar V.L. & Prajapati H.B. 2015. Seroprevalence and comparison of different serological tests for brucellosis detection in small ruminants. Vet World, 8 (5), 561-566. https://doi.org/10.14202/vetworld.2015.561-566.

Sai P., Shakya S., Chandrakar C. & Ali S.L. 2018. Sero-prevalence of Brucellosis in Small Ruminants and Human in Chhattisgarh. J Anim Res, 8 (3), 531-535. http://dx.doi.org/10.30954/2277-940X.06.2018.32.

Saikia G.K., Konch P., Boro A., Shome R., Rahman H. & Das S.K. 2019. Seroprevalence of caprine brucellosis in organised farms of Assam, India. J Entomol Zool Stud, 7 (1), 21-25.E-ISSN: 2320-7078.

Saini S., Gupta V.K., Gururaj K., Singh D.D., Pawaiya R.V.S., Gangwar N.K. & Goswami T.K. 2017. Comparative diagnostic evaluation of OMP31 gene based TaqMan® real-time PCR assay with visual LAMP assay and indirect ELISA for caprine brucellosis. Trop Anim Health Prod, 49 (6), 1253-1264. https://doi.org/10.1007/s11250-017-1323-7.

Saxena N., Singh B.B., Gill J.P.S. & Aulakh RS. 2017. A Serological Study on Incidence of Brucellosis in Sheep in Ludhiana District of Punjab State of India. Int J Curr Microbiol App Sci, 6 (9), 3066-3072. https://doi.org/10.20546/ijcmas.2017.609.377.

Saxena N., Singh B.B. & Saxena H.M. 2018. Brucellosis in sheep and goats and its serodiagnosis and epidemiology. Int J Curr Microbiol Appl Sci, 7 (1), 1848-1877. https://doi.org/10.20546/ijcmas.2018.701.225.

Seleem MN., Boyle SM. & Sriranganathan N. 2010. Brucellosis: a re-emerging zoonosis. Vet Microbiol, 140(3-4), 392-398. https://doi.org/10.1016/j.vetmic.2009.06.02.

Sharma H.K., Kotwal S.K., Singh D.K., Malik M.A., Kumar A, Katoch R. & Singh M. 2016. Seroprevalence studies on brucellosis in goats of Jammu region. Indian J Small Ruminants, (2), 198-201. http://dx.doi.org/10.5958/0973-9718.2016.00056.8.

Sharma H.K., Kotwal S.K., Singh D.K., Malik M.A., Kumar A. & Singh M. 2016. Seroprevalence of human brucellosis in and around Jammu, India, using different serological tests. Veterinary World, 9 (7), 742.

Sharma V., Sharma H.K., Ganguly S., Berian S. & Malik M.A. 2017. Seroprevalence studies of brucellosis among goats using different serological tests. J Entom Zool Stud, 5 (2), 1512-1516. E-ISSN: 2320-7078.

Shome R., Kalleshamurthy T., Shankaranarayana P.B., Giribattanvar P., Chandrashekar N., Mohandoss N. & Rahman H. 2017. Prevalence and risk factors of brucellosis among veterinary health care professionals. Pathog Glob Health, 111 (5), 234-239. https://doi.org/10.1080/20477724.2017.1345366.

Singh A., Gupta V.K., Kumar A., Singh V.K. & Nayakwadi S. 2013. 16S rRNA and omp31gene based molecular characterization of field strains of B. melitensis from aborted foetus of goats in India. Sci World J. https://doi.org/10.1155/2013/160376.

Sperry J.F. & Robertson D.C. 1975. Erythritol catabolism by Brucella abortus. J Bacteriology, 121 (2), 619-630. https://doi.org/10.1128/jb.121.2.619-630.1975.

Sumathi B.R., Veeregowda B.M., Byregowda S.M., Rathnamma D., Isloor S., Shome R. & Narayanaswamy H.D. 2018. Isolation, identification and molecular confirmation of Brucella melitensis from ovine and caprine flocks in Karnataka, India. Int J Curr Microbiol Appl Sci, 7 (5), 3224-3231. https://doi.org/10.20546/ijcmas.2018.705.376.

Suryawanshi S.N., Tembhurne P.A., Gohain S. & Ingle VC. 2016. Prevalence of Brucella antibodies in sheep and goats in Maharashtra. Indian Res J Ext Edu, 14 (4), 75-77.

Thrusfield M. 2007. Diagnostic Testing. In Veterinary Epidemiology 3rd Edition. Blackwell Publishing company, London, 313-316.

Yu W.L. & Nielsen K. 2010. Review of detection of Brucella spp. by polymerase chain reaction. Croat Med J, 51(4), 306-313. http://dx.doi.org/10.3325/cmj.2010.51.306.

Downloads

Published

2024-09-30

How to Cite

Madan, A. ., Kumaresan, G., Rekha, B., Andani, D., Mishra, A. K., Kumar, A., Jacob, T., & Vasudevan, K. (2024). Serological and molecular study on caprine brucellosis in Puducherry (India) and its public health significance. Veterinaria Italiana, 60(3). https://doi.org/10.12834/VetIt.3201.25494.2

Issue

Topics*

Special Issue Brucellosis

Most read articles by the same author(s)