Bovine papillomavirus in Egypt: clinico-pathological features and molecular evolutionary analysis

Authors

  • Sherin Rouby Department of Veterinary Medicine, Faculty of Veterinary Medicine, Beni-Suef University, 62511, Egypt
  • Samar Ewies Department of Virology, Faculty of Veterinary Medicine, Beni-Suef University, Beni Suef 62511, Egypt

DOI:

https://doi.org/10.12834/VetIt.3088.21173.2

Keywords:

Bovine papillomatosis, Benign, DNA, Egypt, Evolutionary analysis

Abstract

Bovine papillomatosis is an infectious viral disease of cattle characterized by development of benign cutaneous warts. The present study describes bovine papillomavirus infection in cattle on clinco-pathological and molecular bases and compares the identified strains with the previously characterized papillomavirus isolates in Egypt either of bovine or equine origin. Out of sixty examined cattle, skin lesions were collected from eleven clinically diseased cattle exhibiting typical papillomatosis clinical signs and subjected to histopathological and molecular identification. Histological sections showed well-developed papillary projections of squamous epithelium associated with fibrovascular stroma. Type 1 bovine papillomavirus (BPV-1) was identified in the cutaneous lesions based on the results of L1 gene-based PCR using degenerated primer followed by DNA sequencing. Comparative sequence and evolutionary analysis revealed that papilloma sequences (OP777901, OP777902, OP777903) obtained in the current study are clustered along with MW018705.1, MG547343.1isolated from cattle in Egypt in 2017/2018 and MT502095.1.1, and MT502105.1 isolated from equine in Egypt in 2019. Results prove the circulation of BPV-1 in the areas under investigation and shed light on the role of multispecies grazing in Egypt as a risk factor for transmission of BPV-1 from cattle to horses.

Introduction

Bovine papillomatosis is an infectious viral disease of cattle characterized by development of benign cutaneous wart like growth (Alcigir et al., 2016). The disease is caused by one of the Bovine papillomaviruses (BPV) which is classified under the genus Papillomavirus, subfamilies Firstpapillomavirinae, family Papillomaviridae (Alfieri et al., 2008). To date, a total of 27 BPVs have been identified; three types remain unclassified, while the others belong to five different genera (Delta-, Xi-, Epsilon-, Dyoxiand Dyokappapapillomavirus) (PaVE, 2020).

Cattle are the usual host and reservoir of BPV infection. The preferred site for papillomaviruses is the skin and or mucosal epithelia (Chow and Broker, 2006), so the usual clinical feature of BPV infection is the cutaneous warts. However, these viruses cannot actively penetrate the skin of their host, so cutaneous abrasions are a prerequisite for BPV infection (Nasir and Brandt, 2013).

Several economic losses were reported with BPV infection, particularly in the dairy sector (Ata et al. 2018), such as growth reduction, weight loss and decreased milk production. Moreover, BPV-1 and 2 infections cause fibropapillomas (warts) of paragenital areas and the skin, benign fibroplasias, and urinary bladder cancer in cattle (Ata et al. 2018).

Papillomaviruses, under natural or experimental conditions, are harshly species and site-specific viruses that means they do not infect any other host than their natural host (Hargis and Ginn 2012). The infection of horses and other equids by BPV-1 and BPV-2 represents the only recognized case of interspecies transmission (Rees, 2004; Campo, 2006).

BPV diagnosis usually includes a clinical examination where wart lesions can be seen on the skin as firm fibropappilomatous growths usually hairless and greyish in color (Khan et al., 2010). Histopathological examination of the wart lesions could help in diagnosis where hyperkeratosis accompanying with long cornified projections and epidermal hyperplasia in addition to variable areas of ulceration, and leucocytic infiltration were reported (Khan et al., 2010; Salib and Farghali, 2011). Polymerase chain reaction (PCR) has been used as a reliable and sensitive technique for the identification and genotyping of BPV (leto et al., 2011). The most studied gene in papillomavirus is the gene coding for BPV late proteins (L1 & L2) (Anderson et al. 1997; Timurkan and Alcigir, 2017) that are expressed into the more differentiated cutaneous cells. Late genes induce the assemblage of the virion by binding to viral nucleic acid (Borzacchiello and Roperto, 2008). BPVs have been previously detected in bovine cutaneous warts collected from different Egyptian counties (Farghali 2011; El Shanawany et al.2019; Ata et al. 2020). The identification and genotyping of the circulating BPV types are essential for effective disease control (Saied et al. 2020). The present study describes the occurrence of BPV infections in cattle on clinco-pathological and molecular bases and compares the identified strains in this study with the previously characterized papillomavirus isolates in Egypt either of bovine or equine origin.

Materials and methods

Animals and Study area

During the summer season of 2021 (June, July, and August) a total of 60 cattle belonging to small dairy cattle herds located at three villages in Nasser, Beni suef Governorates, Egypt were examined for the presence of warts (Figure1). General clinical examinations were performed and all visible cutaneous warts were described according to site. Diseased animals ranged from the age of 10 months to 2 years.

Figure. 1. Area of study and number of examined animals.

Samples collection and preparation

Out of 60 examined cattle, eleven clinically affected animals with papillomatosis were observed. The wart lesions were collected using topical anesthesia (2% lidocaine) under aseptic conditions. Each sample was immediately allocated into two parts; the first portion was suspended in a sterile phosphate buffer saline (pH 7.2) in the ice container for molecular assays, while the second one was placed in a neutral buffered formalin solution of 10% for histopathological analysis.

Histopathological Analysis

Tissue samples were fixed in buffered formalin (10%) then dehydrated in ethanol and embedded in paraffin. The samples were cut and sectioned into5-μm-thick sections, deparaffinized using xylene, and washed by distilled water. They were then placed on slides and stained using hematoxylin and eosin. The slides were assessed under a microscope at different magnifications.

Molecular Assay

DNA extraction

A fragment of approximately 100 mg of each papilloma was minced and subjected to gSync™ DNA extraction kit, Geneaid (Taiwan) according to manufacturer’s instructions.

Polymerase chain reaction (PCR)

The L1 gene-based PCR according to (Ogawa et al., 2004) was performed using the following set of degenerate primer MY09/MY11 (59-GCMCAGGGWCATAAYAATGG-39 and 59-CGTCCMARRGGAWACTGATC-39), with an expected product size of 450 bp. All reaction conditions were performed in a 25 µl volume containing12.5 µL PCR Master Mix (Thermo, Germany),1 µL (each) primer, 7.5 µL RNase free water and 3 µL extracted DNA.

Thermal profile consists of denaturation at 95° C for 4 minutes, 35 cycles at 95° C for 30 seconds, 55° C for 45 seconds and 72° C for one minute, with a final extension of 10 minutes.

The PCR products were electrophoresed in a 2% agarose gel, prepared with ethidium bromide, and pictured under UV light.

Sequencing

Three PCR products (one sample from each locality) were excised from the gel and Purified using a Geneaid gel extraction kit (New Taipei City, China) according to the manufacturer’s instructions. Purified PCR products were sequenced commercially. BLAST analysis (http://www.ncbi.nlm.nih.gov/blast/Blast.cgi) was initially employed to establish sequence identity to GenBank accessions. MEGA X software was used to perform the comparative sequence alignments and construct the phylogenic trees using the maximum likelihood method with 1,000 bootstrapped data sets. The Kimura 2-parameter was used and the tree was obtained initially by Neighbor-Join and BioNJ algorithms . The maximum composite likelihood was assessed as a matrix of pairwise distances.

Results

Papillomatosis was suspected among dairy cattle herds located in private farms belonging to Beni-Suef Governorates where the overall rate was 18.3% (60% in Com-Abu khallad, 12.5% in EL-Tower, and 20% in Dendel) (Figure 1).

Clinical findings

The clinically diseased cattle exhibited the typical papillomatosis clinical signs, such as firm nodules of variable sizes, gray to black in color, and elevated from the skin surface (Figure 2).

Warts were observed on chest, fore and hind legs (Figure 2 a,b,c). The animal's body temperatures were recorded within the standard range.

Histopathological finding

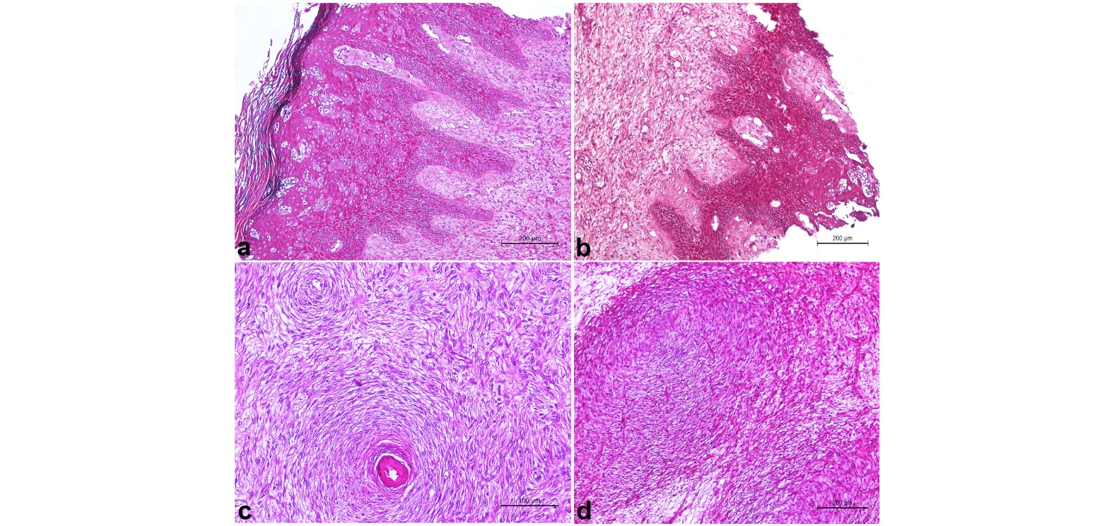
Microscopically, the examined papilloma was in the form of well-developed papillary projections of squamous epithelium associated with fibrovascular stroma (Figure 3 a). These epithelial projections showed marked hyperplasia and hyperkeratosis (Figure 3 b). Some keratinocytes, mainly those of the stratum spinosum, have abundant clear cytoplasm or a perinuclear halo and pyknotic nuclei, which are called koilocytes (cells with cytopathic changes). In some sections, there were increased fibroblast proliferation, collagen deposits, and lymphocyte infiltration. In the dermis, proliferating collagen bundles are arranged in different directions forming a cuff around the blood vessels and hair follicles (Figure 3 c,d).

Figure. 2. Typical papillomatosis clinical signs in different animals.

Figure. 3. Histopathological sections of papillomatosis warts. a,b; a well-developed papillary projections of squamous epithelium associated with fibrovascular stroma x100, c; Proliferating collagen bundles are arranged in different directions forming a cuff around the blood vessels x200, d; Fibroblast proliferation, collagen deposits, and lymphocyte infiltration x200.

Molecular identification and sequencing analysis

Using the degenerate primer set (MY09/MY11) targeting L1 gene, a fragment of 450 bp has been amplified from DNA extracts. Sequencing analyses of the partially amplified L1 gene revealed that the three papilloma sequences obtained in the current study (OP777901, OP777902 and OP777903) belong to Deltapapillomavirus 4 and are closely related to each other with 100% nucleotide and amino acid (AA) identity in between. Comparative sequence analyses of L1 gene reveal that field papillomavirus obtained in the current study shared 99% to 100% identity on both nucleotide and amino acid sequences with Deltapapillomavirus 4 isolate MW018705.1, MG547343.1isolated from cattle in Egypt in 2017/2018. Deduced nucleotide and amino acid sequence revealed that the three papilloma sequences shared high degree of identity with Deltapapillomavirus 4 isolate of equine origin (MT502095.1.1/Egypt/2018, MT502105.1/Egypt/2019, MF384288.1/UK/2017, LC510382.1.1/japan/2020, MF384286.1/Switzerland/2017, MZ310894.1/ Belgium/2020

MZ310880.1/France/2020, GQ451823.1/Poland/2008, KY886226.1/USA/2012).

Phylogenetic analysis revealed that papilloma sequences obtained in the current study are clustered along with MW018705.1, MG547343.1isolated from cattle in Egypt in 2017/2018 and MT502095.1.1, and MT502105.1 isolated from equine in Egypt in 2019 (Figure 4).

Figure. 4. Evolutionary analysis of L1 gene sequences. Data of selected papillomavirus used in evolutionary analysis. Tree was created using Mega x database by the neighbor-joining analysis. Bootstrap confidence values were calculated on 1000 replicates according to the maximum-likelihood approach.

Discussion

Bovine papillomavirus (BPV) causes benign tumors in the skin and mucosal epithelium. In general, the benign tumors devolve without provoking any serious clinical complications in cattle, but occasionally persist and transform into squamous cell carcinomas, particularly in the existence of environmental co-factors (Campo, 1997). The current study investigates the circulating BPV in animals on clinical, histopathological and molecular bases. A total of 60 cattle belonging to small dairy cattle herds located at three villages in Nasser, Beni suef Governorates, Egypt were examined during the summer season of 2021 (June, July, and August). The overall rate was 18.3% (60% in Com-Abu khallad, 12.5% in EL-Tower, and 20% in Dendel). Firm nodules of variable sizes elevated from the skin surface were observed on chest, fore and hind legs of clinically diseased animals. The common affected places were lower legs. Limbs of animals are more vulnerable to physical attrition that provide micro-injuries from which the virus goes into. According to Nasir and Brandt (2013), skin abrasions are mandatory for BPV infection as papillomaviruses are unable to penetrate the skin of their host. Histological sections showed well-developed papillary projections of squamous epithelium associated with fibrovascular stroma. Results came in accordance with Egawa (2005), who reported that BPV has a great affinity for stratified squamous epithelia of cattle. Some keratinocytes, mainly those of the stratum spinosum, have abundant clear cytoplasm or a perinuclear halo and pyknotic nuclei, which are called koilocytes (cells with cytopathic changes). In the dermis, proliferating collagen bundles are arranged in different directions forming a cuff around the blood vessels and hair follicles. These findings came in accordance with those of Marins and Ferreira, (2011). The identification followed by genotyping of the causative agentare important for effective disease control (Farghali 2011; Saied et al. 2020). To investigate the circulating genotype, the L1 gene-based PCR using degenerated primer followed by sequencing was performed. sequences obtained in the current study (OP777901, OP777902 and OP777903) belong to Deltapapillomavirus 4 and are closely related to each other with 100% nucleotide and amino acid (AA) identity ranged in between. Comparative sequence analyses of L1 gene reveal that field papilloma obtained in the current study shared 99% to 100% identity on both nucleotide and amino acid sequences with Deltapapillomavirus 4 isolate MW018705.1, MG547343.1isolated from cattle in Egypt in 2017/2018 (Ata et al. 2018&2020).

Deduced nucleotide and amino acid sequence revealed that the three papilloma sequences shared high degree of identity with Deltapapillomavirus 4 isolate of equine origin (MT502095.1.1/Egypt/2018, MT502105.1/Egypt/2019, MF384288.1/UK/2017, LC510382.1.1/japan/2020, MF384286.1/Switzerland/2017, MZ310894.1/ Belgium/2020

MZ310880.1/France/2020, GQ451823.1/Poland/2008, KY886226.1/USA/2012). Phylogenetic analysis revealed that papilloma sequences obtained in the current study are clustered along with MW018705.1, MG547343.1isolated from cattle in Egypt in 2017/2018 and MT502095.1.1, and MT502105.1 isolated from equine in Egypt in 2019. Results came in accordance with Lunardi (2013) who stated that BPV are capable of infecting diverse host species such as horses causing equine sarcoid.

Conclusion

Molecular results prove the circulation of BPV-1 in the areas under investigation, while evolutionary analysis shed light on the role of multispecies grazing in Egypt as a risk factor for transmission of BPV-1 from cattle to horses.

Ethical Approval

This study was carried out under strict accordance with the guidelines of Animal Care and Use Committee (IACUC- No:022-378), Faculty of Veterinary Medicine, Beni-Suef University, Egypt.

Declaration of competing interest

The authors declare no conflict of interest.

Author contributions

S R. and S E. contributed equally to study design, methodology, and interpretation of results.

References

Alcigir M.E., Atalay Vural S. & Timurkan M.O. 2016. Investigation of E2, E5 and E6gene expression and DNA in situ fragmentation findings associated with progressive and regressive changes in benign neoplastic cutaneous lesions arising naturally from bovine papillomavirus-1 infection. Medycyna Weterynaryjna, 72(9), 549–557. https://doi.org/10.21521/mw.5562.

Alfieri A.A, Wosiacki S.R & Alfieri A.F. 2008. Papillomaviridae. In Virologia veterina´ ria [Veterinary virology], ed. Flores E,pp. 397–412. Anderson R.A, Scobie L., O’Neil B.W, Grindlay G.J. & Campo M.S. 1997. Viral proteins of bovine papillomavirus type 4 during the development of alimentary canal tumours. Vet J., 154, 69–78.

Ata E.B., Mahmoud M.A. & Madboli A.A. 2018. Moleculardetection and immunopathological examination of Deltapapillomavirus 4 in skin and udder of Egyptian cattle. Veterinary World, 11, 915–920.

Ata E.B., Salama A., Zaghawa A., Ghazy A.A., Elsify A., Nayel M., Hegazy Y., Abdel-Rahman E.H. & Warda S. 2020. Seroprevalence of equine herpes virus-1 in endemic area of Egypt with risk factors assessment. Bulgarian Journal of Veterinary Medicine, 23, 102–111.

Borzacchiello G. & Roperto F. 2008. Bovine papillomaviruses, papillomas and cancer in cattle. Vet Res, 39, 1–10. Chow L.T& Broker T.R. 2006. Mechanisms and regulation of papillomavirus DNA replication. In: CampoMS (ed) Papillomavirus research: from natural history to vaccines and beyond. Caister Academic Press, Norfolk, 53–71.

Egawa K. 2005. Eccrine-Centred Distribution of Human Papillomavirus-63 Infection in the Epidermis of the Plantar Skin. British Journal of Dermatology, 152, 993-996.

El Shanawany E.E., Nassar S.A. & Beshir E. 2019. Detection of Humoral and Cellular Immune Responses in Buffaloes Naturally Infected with Sarcocystosis with Risk Factor Assessment. Acta Veterinaria, 69, 275–289.

Farghali F. 2011. Clinical, epidemiological and therapeutic studies on Bovine Papillomatosis in Northern Oases, Egypt in 2008. Veterinary World, 53-59.

Hargis A.M. & Ginn P.E. 2012. The integument. In: Zachary J.F, McGavin MD (eds) Pathologic basis of veterinary disease, 5th ed. Elsevier/Mosby, 1025–1027.

Khan C.M., Scott L. & Susan E.A. 2010. Papilloma.The Merck Veterinary Manual 10th Ed., 867-869.

Kimura M. A. 1980. simple method for estimating evolutionary rates of base substitutions through comparative studies of nucleotide sequences. Journal of Molecular Evolution, 16(2), 111–20. https://doi.org/10.1007/BF01731581 PMID: 7463489.

Leto M., Santos Júnior G.F., Porro A.M. & Tomimori J. 2011. Human papillomavirus infection: etiopathogenesis, molecular biology and clinicalmanifestations. An Bras Dermatol , 86, 306–317.

Lunardi M., Alfieri A., Otonel R.A., de Alcântara B.K., Rodrigues W.B. & deMiranda A.B. 2013. Genetic characterization of a novel bovine papillomavirus member of the Deltapapillomavirus genus. Veterinary Microbiology, 162(1), 207–213. https://doi.org/10.1016/j.vetmic.2012.08.030.

Marins R.S. & Ferreira C.E. 2011. Clinicopathologicand epithelial regression study in cutaneous warts of bovines infected by papillomavirus. Int Res J Pharm Pharmacol, 1, 12–16.

Nasir L. & Brandt S. 2013. Papillomavirus associated diseases of the horse. Veterinary Microbiology, 167,159–167.

Ogawa T., Tomita Y., Okada M., Shinozaki K., Kubonoya H., Kaiho I. & Shirasawa H. 2004. Broad-spectrum detection of papillomaviruses in bovine teat papillomas and healthy teat skin. J Gen Virol, 85, 2191–2197.

Rees C.A. 2004. Disorders of the skin. In: Reed SM, Bayly WM, Sellon DC (eds) Equine Internal Medicine, 2nd Edn, 667–720.

Saied A.A., El-Ghoneimy A.A., Seddek A.L., Abdel-Ghafar S.K. & Morad S.A.F. 2020. Therapeutic effectiveness of Ocimum basilicum extract on bovine cutaneous papillomatosis. SVU International Journal of Veterinary Sciences, 3, 60–77.

Salib F.A. & Farghali H.A. 2011. Clinical, epidemiological and therapeutic studies on Bovine Papillomatosis in Northern Oases, Egypt in 2008. Veterinary World, 4(2), 53-59.

Timurkan M.O. & Alcigir M.E. 2017. Phylogenetic analysis of a partial L1 gene from bovine papillomavirus type 1 isolated from naturally occurring papilloma cases in the northwestern region of Turkey. Onders J Vet Res, 84(1), 1450. https://doi.org/10.4102/ojvr.v84i1.1450.

Downloads

Published

2023-09-30

How to Cite

Rouby, S., & Ewies, S. . (2023). Bovine papillomavirus in Egypt: clinico-pathological features and molecular evolutionary analysis . Veterinaria Italiana, 59(3). https://doi.org/10.12834/VetIt.3088.21173.2

Issue

Topics*

Paper