Evaluation of polymeric adjuvants associated with cadidate vaccine strain Brucella ovis ∆abcBA in a murine model of Brucella ovis infection

Authors

  • Jefferson Brunno Soares Oliveira Departamento de Clínica e Cirurgia Veterinária, Escola de Veterinária, Universidade Federal de Minas Gerais, Belo Horizonte, Minas Gerais, Brazil. https://orcid.org/0000-0002-8621-9577
  • Fabiola Barroso Costa Departamento de Clínica e Cirurgia Veterinária, Escola de Veterinária, Universidade Federal de Minas Gerais, Belo Horizonte, Minas Gerais, Brazil. https://orcid.org/0000-0002-6937-9624
  • Pamela Aparecida Lima Departamento de Clínica e Cirurgia Veterinária, Escola de Veterinária, Universidade Federal de Minas Gerais, Belo Horizonte, Minas Gerais, Brazil.
  • Thaynara Parente de Carvalho Departamento de Clínica e Cirurgia Veterinária, Escola de Veterinária, Universidade Federal de Minas Gerais, Belo Horizonte, Minas Gerais, Brazil.
  • Monique Ferreira Silva Departamento de Patologia Geral, Instituto de Ciências Biológicas, Universidade Federal de Minas Gerais, Belo Horizonte, Minas Gerais, Brazil. https://orcid.org/0000-0003-1086-4171
  • Laice Alves da Silva Departamento de Clínica e Cirurgia Veterinária, Escola de Veterinária, Universidade Federal de Minas Gerais, Belo Horizonte, Minas Gerais, Brazil. https://orcid.org/0000-0002-2357-5953
  • Michelle Daiane de Almeida Loures Laboratório de Inovação em Nanobiotecnologia e Materiais Avançados para Pecuária Embrapa, Gado de Leite, Juiz de Fora, Minas Gerais, Brazil. https://orcid.org/0000-0003-2889-6606
  • Humberto de Mello Brandão Laboratório de Inovação em Nanobiotecnologia e Materiais Avançados para Pecuária Embrapa, Gado de Leite, Juiz de Fora, Minas Gerais, Brazil. https://orcid.org/0000-0002-7405-3928
  • Renato de Lima Santos Departamento de Clínica e Cirurgia Veterinária, Escola de Veterinária, Universidade Federal de Minas Gerais, Belo Horizonte, Minas Gerais, Brazil. https://orcid.org/0000-0002-4830-0470
  • Tatiane Alves Paixao Departamento de Patologia Geral, Instituto de Ciências Biológicas, Universidade Federal de Minas Gerais, Belo Horizonte, Minas Gerais, Brazil. https://orcid.org/0000-0001-8284-9902

DOI:

https://doi.org/10.12834/VetIt.3016.31419.2

Keywords:

ABC transporter, alginate, chitosan, immune response, mice model, ovine brucellosis

Abstract

Brucellosis is an infectious disease caused by facultative intracellular Gram-negative bacteria, of great importance in animal and human health. An ideal vaccine against brucellosis should induce protection, not cause disease in animals or humans, and not interfere with serological diagnosis. Vaccine adjuvants can improve the immune response, leading to a more intense and prolonged protection, improving its effectiveness. The Brucella ovis ΔabcBA strain encapsulated in alginate provides an experimental vaccine formulation that protects against Brucella spp. infection. However, the investigation of other polymers such as adjuvants is important for optimizing the efficiency of the candidate vaccine B. ovis ∆abcBA. Therefore, this study aimed to evaluate the vaccine potential of the B. ovis ∆abcBA associated with different polymeric adjuvants in mice challenged with B. ovis. We observed that B. ovisabcBA encapsulated by alginate with chitosan, but not copolymer Poloxamer 407, resulted in the lowest bacterial recovery in both the spleen and liver of challenged animals compared to non-vaccinated mice. While copolymer Poloxamer 407 did not induce significant humoral immune response, the alginate and chitosan vaccine formulation induced higher levels of Immunoglobulin G, with an increase in the IgG2b subclass, indicating a Th1 type of response, which is known to play a critical role in controlling infections by intracellular agents.

Introduction

Brucellosis is an infectious disease caused by facultative intracellular Gram-negative bacteria, of great importance in animal and human health. Several species of Brucella, such as B. melitensis, B. abortus, B. suis, and B. canis, can cause human infections and economic losses in small ruminant, cattle, swine and dogs, respectively (Moreno 2021). Although B. ovis does not have zoonotic potential, it causes significant economic impact on the sheep industry due to subfertility mostly secondary to epididymitis in rams (Burgess 1982, Carvalho Júnior et al. 2012).

Vaccination of domestic animals is the most important strategy for controlling animal brucellosis, which indirectly prevents human brucellosis. An ideal vaccine against brucellosis should induce good protection, not cause disease in animals or humans, and not interfere with serological diagnosis of the disease (Corbel 2006).

There are no commercially available vaccines for preventing B. ovis infection in sheep (Carvalho et al. 2020a). Previous studies from our group demonstrated the potential of a vaccine candidate B. ovis lacking a species-specific ABC deficient mutant strain (B. ovis ΔabcBA). This candidate vaccine strain is strongly attenuated in vitro and in vivo in mice (Silva et al. 2011, Silva et al. 2014) or sheep (Silva et al. 2013). When B. ovis ΔabcBA is encapsulated in alginate there is an increase in immunogenicity supposedly due to a prolonged release of the vaccine strain (Silva et al. 2015b). This formulation induced protection in mice against various B. ovis isolates (Carvalho et al. 2020b). Importantly, this strain promoted sterile immunity in experimentally challenged rams (Silva et al. 2015a). B. ovis ΔabcBA encapsulated with alginate also protected mice against B. melitensis (Costa et al. 2020) and B. canis (Eckstein et al. 2020) associated with a Th1-directed immune response. Thus, this vaccine strain has the potential for development of a polyvalent Brucella spp. vaccine.

Adjuvants are used in vaccine preparations to improve the immune response, leading to a more intense and prolonged protection (Brunner et al. 2010). Natural polymers derived from microorganisms or plants or synthetic polymers such as polyesters, polyanhydrides, or copolymers demonstrated adjuvant potential in association with various antigens. They favor the activation of humoral and cellular immune responses and promote a slow release of the antigen. Solubility, molecular weight, degree of branching and the conformation of the polymeric backbone are factors that can influence the adjuvant potential of a polymer. Furthermore, biocompatibility, biodegradability, easy production and purification, and absence of toxicity are important characteristics for a polymer to be a good candidate for vaccine adjuvant (Shakya and Nandakumar 2013).

Synthetic copolymers as Poloxamer 407 have been investigated as a controlled delivery system for drugs and antigens (Dumortier et al. 2006, Kojarunchitt et al. 2015, Bobbala et al. 2016). Poloxamer 407 is a non-ionic sulfating triblock copolymer composed of polyethylene and polypropylene with thermo-responsive properties. Its polymerization at body temperature forms a hydrogel that promotes prolonged release of pharmacological agents, while at room temperature, this polymer has a fluid state that facilitates the administration of the formulation (Dumortier et al. 2006).

Alginate is a natural polymer extracted from algae that has been used for microencapsulation of vaccines (Arenas-Gamboa et al. 2009, Silva et al. 2015a, Costa et al. 2020). Alginate is a biopolymer that incites a more effective immune response against intracellular pathogens, eliciting production of cytokines such as IFN-γ and TNF, in in the absence of allergic reaction (Kesarwani et al. 2021). In this study we will associate alginate with chitosan, which is a polysaccharide from chitin found in crustaceans and cell wall of fungi. Chitosan is biodegradable, biocompatible, and non-toxic compound that has immunomodulatory activity with increasing application in vaccine formulations (Heffernan et al. 2011, Abkar et al. 2015, Dumkliang et al. 2021). Polyonic alginate-chitosan complexes improve the adjuvant properties of its individual components by reducing the microcapsule pores, which results in better retention and optimization of antigen release and better results in experimental vaccines (George and Abraham 2006, Rahaiee et al. 2015, Rocha et al. 2021).

The biochemical characteristics of biopolymers favor the vaccine response by stimulating the immune system, mainly through the slow release of antigen to antigen-presenting cells, allowing the adaptive immune response to be adequately developed. B. ovis ΔabcBA vaccine is characterized by its rapid elimination from the host's organism, which may insufficiently induce the adaptive immune system. Thus, the use of an adjuvant with biopolymers that prolongs the time the antigen is exposed to the immune system is desirable and justifies research. Therefore, the goal of this study is to evaluate the adjuvant effect of copolymer Poloxamer 407 and alginate/chitosan complexes on the protective response induced by the candidate vaccine strain B. ovis ΔabcBA against experimental challenge with wild type B. ovis in mice.

Material and methods

Ethics statements

The experimental animal procedures in this study strictly followed all applicable laws and regulations. These experimental procedures were approved by the Ethics Committee in the Use of Animals of the Federal University of Minas Gerais, under protocol CEUA/UFMG No. 28/2020. The animals were kept in an environment with controlled temperature and humidity and received water and food ad libitum. The animals were euthanized using an anesthetic dose composed of xylazine hydrochloride (2%, 30 mg/Kg, Syntec, Brazil) and ketamine hydrochloride (1%, 210 mg/Kg, Syntec, Brazil), mixed and injected intraperitoneally in a volume of 100 µL followed by cervical dislocation.

Bacterial strains and culture conditions

Bacterial strains B. ovis wild type ATCC 25840 and B. ovisabcBA, a mutant strain generated from the deletion of open read frame (orf) abcA and orf abcB from the abcEDCBA locus (Silva et al. 2011), and the B. ovisabcBA mCherry strain which express constitutively red fluorescence (Silva et al. 2014), were used in this study. The bacteria were cultured on tryptone soy agar (TSA, Invitrogen, USA) containing 1% hemoglobin (Becton-Dickinson, USA) for three days at a constant temperature of 37°C in a humidified oven and at 5% CO2, 100 µg/mL of kanamycin (Gibco, Brazil) was added to the plates of the mutant strains. Bacteria were resuspended in phosphate-buffered saline (PBS/pH 7.4, Gibco, Thermo Fisher Scientific, USA) and bacterial concentration was estimated by measuring optical density at 600 nm (OD600) in a spectrophotometer (Bio-Rad, USA).

Evaluation of copolymer stability

The ideal gelation condition of the final formulation at 37°C was determined during the pre-experimental phase using a factorial design with variations in ionic strength, Poloxamer 407 concentration (data not showed). The concentrations 185 µg/mL and 190 µg/mL were selected to mix to bacterial suspension. Poloxamer 407 (PLX, Sigma-Aldrich, USA) is a copolymer that is liquid under refrigeration and polymerizes at 37ºC. The behavior of the PLX associated or not with the bacterial suspension of B. ovisabcBA at a concentration of 1010 CFU/mL was evaluated. Time required for polymerization (solidification) at a temperature of 37°C (in a humidified oven with 5% CO2) or 21°C (at room temperature) and the adequate refrigeration condition for its maintenance in liquid phase (ideal for inoculation) keeping suspension on 0°C or 4°C were measured. Analyzes were performed in triplicates with 2 mL of the PLX at two different concentrations (185 µg/mL and 190 µg/mL) associated or not with the bacteria.

Vaccine preparation with copolymer.

The bacterial suspension containing 1x1010 CFU/mL of B. ovisabcBA was prepared in PBS to define the concentration in OD600, resuspended directly in the solution of Poloxamer 407 (Sigma) at a concentration of 185 µg/mL, remaining under refrigeration until inoculation.

Preparation of vaccines with alginate and chitosan

The encapsulation of the vaccine strain with alginate (Sigma-Aldrich, USA) and chitosan (Sigma-Aldrich, USA) was performed with a bacterial suspension containing a concentration of 1 x 1010CFU/mL of B. ovisabcBA, resuspended in an alginate solution at 1%, as previously described (Silva et al. 2015a), Then the alginate capsules were immersed in a solution composed of chitosan at 1% acetic acid and sodium acetate at pH 5.0 (Rocha et al. 2021).

Fluorescence microscopy

To visualize the B. ovisabcBA associated with the adjuvants used in this study, vaccines were prepared with the B. ovisabcBA mCherry bacterial strain, under the same conditions and concentration described for the preparation of the vaccines used in the immunization of mice. The vaccine suspensions under glass slides were observed and images captured on a Leica photomicroscope, DM 4000 B (Leica Microsystems, Germany).

Immunization of mice

Thirty 6 -7-week-old C57BL/6 female mice were randomly divided into five groups with six animals each as follows: alginate + chitosan + 1 x 109CFU/mL of B. ovisabcBA (AC+∆abcBA), alginate + chitosan (AC), copolymer Poloxamer 407 + 1 x 109 CFU/mL B. ovisabcBA (PLX+∆abcBA), Copolymer Poloxamer 407 (PLX) and the control group inoculated with PBS (not vaccinated). Mice were inoculated subcutaneously with 100 µL of the vaccine preparations or sterile PBS in a single dose. In animals immunized with preparations containing AC, the vaccine dose was divided into two application sites (dorsal cervical region and pelvic region). Since immunization, the mice were observed daily until the 42nd day after vaccination to measure body weight and thickness at the site of inoculation with caliper, and to observe behavioral changes related to pain or local inflammatory reaction.

Protection assay

Four weeks after vaccination, all groups were submitted to the infectious challenge with a dose of 1 x 106 CFU/animal of the wild type B. ovis ATCC 25840 strain. Two weeks after the challenge, to determine the bacterial recovery, the mice were euthanized and fragments of liver and spleen were collected, weighed and macerated using a tissue homogenizer (Ultra Stirrer, Biotech, USA). Serial dilution was performed and plated in TSA with 1% hemoglobin. TSA plates with or addition of 100 µg/mL of kanamycin were intended for the recovery of the vaccine strain. The seeded plates were kept in an oven at a temperature of 37°C and 5% CO2 and colonies were counted after 3 to 5 days.

Histopathological evaluation

Tissue samples from the vaccine inoculation site, liver, and spleen of mice were fixed in 10% buffered formalin, processed for paraffin embedding, sectioned in a microtome (3-4 µm thick sections), and stained with hematoxylin and eosin. Histopathological changes were scored according to the intensity of the inflammatory infiltrate: 0 (zero) absent, 1 (one) mild, 2 (two) moderate, and 3 (three) severe, and the absence of necrosis 0 (zero) or the presence of necrosis 1 (one), resulting in a total maximum score of 4 (four). The slides were blindly evaluated by two veterinary pathologists.

Evaluation of humoral immune response

The humoral immune response induced in mice after vaccination was evaluated by Indirect Enzyme Linked Immunosorbent Assay (ELISAi) measuring specific titers of immunoglobulins, including IgM, total IgG and its subclasses, IgG1, IgG2a, IgG2b, and IgG3. ELISA plates (Costar, Sigma-Aldrich, USA) were sensitized with 100 µL of sonicate crude total B. ovis antigen at a concentration of 0.25 µg per well for 18 hours at 4°C. After antigen adsorption, the plates were washed twice with PBST 0.05% Tween 20 (Sigma-Aldrich, USA) and blocked with 200 μL of PBS plus 5% bovine serum albumin (BSA) for 1 hour at 37°C. After blocking, the solution from the wells was removed and samples of animal sera were diluted (1:100) in PBS solution with 2.5% BSA, added to wells, and incubated for 1 hour at 37°C. Next, the plates were washed three times with 0.05% PBST and 100 μL of the secondary anti-mice antibody (IgM, IgG, IgG1, IgG2a, IgG2b, and IgG3) conjugated with peroxidase (Sigma-Aldrich, USA) diluted 1:2,000 in PBS-BSA 2.5% were added to wells. After incubation at 37°C for 1 hour, the plates were again washed three times with the washing solution, and then 100 μL/well of substrate (0.1 M anhydrous citric acid, 0.2 M sodium phosphate, 0.05% OPD and 0.1% H₂O₂) was added. The plates were protected from light for 5 minutes with the developer solution, and the reaction was stopped by the addition of 50 μL of H2SO4. The resulting absorbance was analyzed in an ELISA reader at 492 nm (MR-96A Microplate reader, Mindray, China). All assays were performed in duplicates.

Statistical analysis

The statistical analysis of the data obtained in the CFU count and antibody measurement were normalized by logarithmic transformation and submitted to the analysis of variance (ANOVA). Then the means were compared using the Tukey test. The score of the lesions in the tissues evaluated were analyzed using the non-parametric Kruskal-Wallis test. All these analyses were performed with GraphPad Prism software version 8.0.1 (GraphPad Prism software 8.0.1, Inc, USA). Values were considered statistically different when P value <0.05.

Results

Characteristics of copolymer Poloxamer 407 in vaccine formulation

The copolymer PLX is liquid at low temperatures and solid at body temperature, which are highly desirable features for a vaccine adjuvant. Since it is liquid during preparation and inoculation, and it polymerizes at body temperature at the site of inoculation, which favors a slow release of the antigen. Therefore, we evaluated physical properties of PLX in vitro under conditions similar to those found in the field or usual conditions for veterinary vaccine preparations. The vaccine formulation at the concentration of 185 µg/mL of PLX polymerization at 21°C (room temperature) began at 133,2 ± 0.004 (n = 3) seconds after removal from the 0°C and it was completed at 679,8± 0.043 (n = 3) seconds. In formulations with 190 µg/mL, there was no significant differences in the initial and final polymerization times at 21ºC (Figure supplementary 1A). Maintenance of the vaccine formulation with PLX in liquid phase was evaluated in usual conservation media, either under 0ºC (crushed ice) or 4°C (reusable ice). The polymerized PLX (after removal from the 37°C incubator) liquefied in less than 1 minute and remained in constant liquid form (for up to 3 hours evaluated) at 0°C in both concentrations, 185 µg/mL and 190 µg/mL. However, when stored at 4°C it liquefied only partially (Figure supplementary 1B). This time in liquid phase in flake ice was considered enough for preparation, suspension and inoculation of a vaccine in the field. Due to similar liquid phase stability, and polymerization time at room temperature, the lower concentration, 185 µg/mL, was chosen for the mouse immunization experiment. These results suggest that the PLX, presents characteristics that make its use feasible during vaccine preparation.

Bacterial strain in the vaccine formulations with copolymer PLX or alginate and chitosan microcapsules

Evaluation of the vaccine formulations by fluorescence microscopy using the B. ovisabcBA mCherry strain associated with the polymeric adjuvants demonstrated bacteria retained inside of polymers. The AC capsules showed irregular ovoid shapes, ranging in size from 500 µm to 900 µm (Figure 1 A). Evaluation of the PLX revealed an amorphous material associated with diffusely distributed bacteria (Figure 1 B). The schematic figure represents interaction of bacteria with potential polymeric adjuvants (Figure 1 C)

Figure. 1. Fluorescence microscopy image demonstrating numerous red bacteria (Brucella ovis ∆abcBA expressing mCherry) associated with alginate capsules with chitosan (A) or the copolymer PLX (B). Schematic figure vaccine formulations - polymers associated to mCherry <em>B.</em><strong> </strong><em>ovis</em> (C).

Inflammatory response of inoculation site to Brucella ovis ∆abcBA vaccine formulations

Previous studies demonstrated that the use of alginate and chitosan microcapsules elicits an exacerbated inflammatory response at the inoculation site when associated with vaccine antigen (Rocha et al. 2021). Therefore, formulations containing alginate and chitosan in this study were applied at two inoculation sites. The vaccine formulations containing PLX were applied at a single inoculation site. When we evaluated the inoculation site of the animals immunized with polymeric adjuvants, only the animals immunized with AC+∆abcBA had significant local changes. Immunization of mice with AC+∆abcBA caused a progressive increase in skin thickness, which peaked at 14 days but remained until 42 days after inoculation (Figure 2A). Three mice immunized with AC+∆abcBA developed a fistula, draining purulent-looking contents. Discomfort during handling for daily weighing was observed in all mice of the AC+∆abcBA group. No change in behavior was observed in the animals of the other groups. Despite the changes in the inoculation site, there were no differences in weight gain between the groups throughout the course of the experiment (Figure 2B).

Figure. 2. Skin thickness at the vaccine inoculation site (A) and body weight gain (B) of female C57BL/6 mice (n=6) was evaluated for 42 days after subcutaneous immunization with PBS (non-immunized), copolymer (PLX), PLX + B. ovis ∆abcBA (PLX+∆abcBA), alginate and chitosan capsules (AC), and <em>B.</em><strong> </strong><em>ovis</em> ∆<em>abcBA</em> encapsulated by alginate and chitosan (AC+∆<em>abcBA</em>). Results were analyzed for normality before being subjected to ANOVA, with mean values compared by Tukey's test. Statistical differences are represented by asterisks (* p < 0.05, ** p <0.01, *** p < 0.001, **** p < 0.0001).

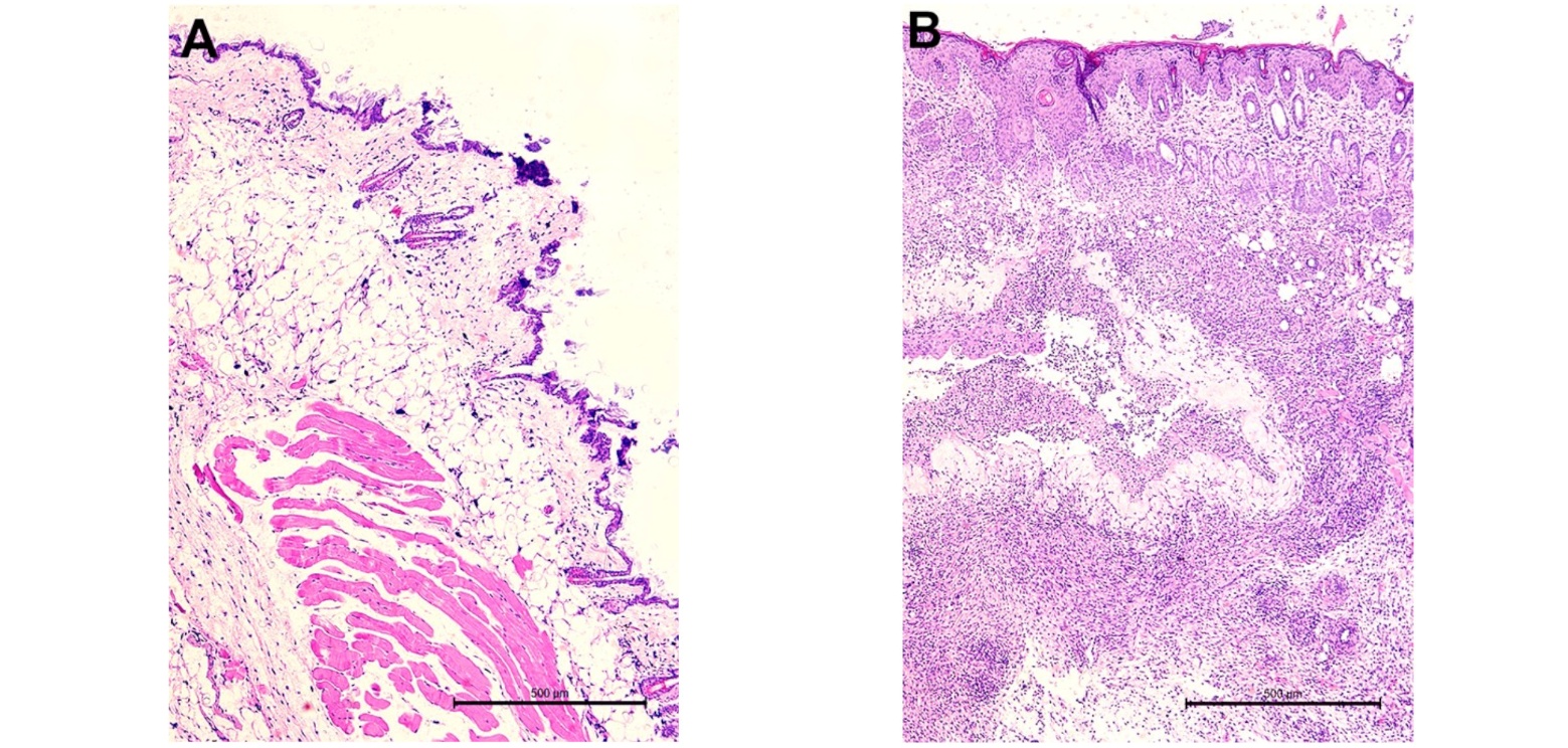
Histology of the skin at inoculation sites sampled at 42 days after immunization, demonstrated a chronic inflammatory lesion in the skin of AC+∆abcBA mice. The dermis presented intense and diffuse inflammatory infiltrate that extended from the superficial dermis to the deep dermis, composed of macrophages with foamy cytoplasm, neutrophils, and some lymphocytes and plasma cells, associated with acanthosis, multifocal areas of moderate necrosis, and marked fibroblastic proliferation. In addition, moderate multifocal deposition of hyaline-looking content was observed associated with the lesion. In contrast, skin from mice in the AC, PLX or PLX+∆abcBA group exhibited mild local inflammatory reaction, characterized by the presence of a discrete number of macrophages, rare lymphocytes and plasma cells, with this inflammatory infiltrate being observed mainly in the deep dermis region, in addition to no histological changes were observed in the skin of unvaccinated mice (Figure 3).

Figure. 3a/b. Histopathology of vaccine inoculation skin site of female C57BL/6 mice (n = 6) 42 days after subcutaneous immunization with PBS (non-immunized) (A) and B. ovis ∆abcBA encapsulated by alginate and chitosan (AC+∆abcBA) (B).

Figure. 3c. Histopathological scores are expressed as individual animals (points) and median (line) (C). Results were analyzed using the Kruskal-Wallis non-parametric test. Statistical differences are represented by asterisks (* p < 0.05, ** p < 0.01).

Vaccine protection of Brucella ovis ∆abcBA formulations against challenge with B. ovis

Mice immunized with alginate capsules with chitosan loaded with the vaccine strain showed a significant (p < 0.05) reduction in bacterial load in the liver (Figure 4A) and spleen (Figure 4B) after challenge with the B. ovis wild type strain when compared to the unvaccinated group. The AC+∆abcBA vaccine resulted in 0.5 Log protection index in the spleen and 0.6 Log in the liver. Mice vaccinated with PLX+∆abcBA did not show significant CFU reduction in the spleen and liver when compared with unimmunized animals.

Figure. 4. Bacterial recovery from liver (A) and spleen (B) of female C57BL/6 mice (n = 6) immunized subcutaneously with PBS (non-immunized), copolymer (PLX), PLX + B. ovis ∆abcBA (PLX+∆abcBA), alginate and chitosan capsules (AC), and B. ovis ∆abcBA encapsulated by alginate and chitosan (AC+∆<em>abcBA</em>) and subsequently challenged with the wild strain of <em>B.</em><strong> </strong><em>ovis</em>. Data are expressed as individual animals (points) and mean with standard deviation. Results were log-transformed before being subjected to ANOVA and compared by Tukey's test. Statistical differences are represented by asterisks (* p < 0.05, ** p < 0.01).

Microscopically, liver of unvaccinated mice infected with B. ovis exhibited multifocal areas of intense inflammatory infiltrate composed of macrophages and neutrophils (microgranulomas), associated with multifocal random areas of necrosis (Figure 5). Similar lesions were observed in the liver of the non-immunized animals were also observed in mice of the PLX, AC and PLX+∆abcBA groups (Figure 5). However, mice immunized with AC+∆abcBA developed less severe lesions in the liver (p < 0.05) compared to the other groups (Figure 5).Therefore, vaccination with B. ovisabcBA encapsulated in alginate and chitosan resulted in reduction of bacterial colonization in liver and spleen with less severe inflammatory lesions in liver after challenge with the wild type B. ovis strain.

Figure. 5a/e. Histopathological evaluation of the liver of female C57BL/6 mice (n = 6) immunized subcutaneously with Brucella ovis ∆abcBA encapsulated by alginate with chitosan (AC+∆abcBA) represented by black circle (A), AC by empty circle (B), copolymer + <em>B.</em><strong> </strong><em>ovis</em> ∆<em>abcBA</em> (PLX+∆<em>abcBA</em>) Black square (C), PLX by empty square (D) and PBS (non-immunized) empty triangle (E).

Figure. 5f. Histopathological scores are expressed as individual animals (points) and the median (F). Results were analyzed using the Kruskal-Wallis non-parametric test. Statistical differences are represented by asterisks (* p < 0.05).

Humoral immune response in mice Immunized with Brucella ovis ∆abcBA vaccine formulations

Figure. 6. Determination of total IgM (A) and IgG (B) levels by ELISAi of serum from female C57BL/6 mice (n = 6) immunized subcutaneously with PBS (non-immunized), copolymer (PLX), PLX + B. ovis ∆abcBA (PLX+∆abcBA), alginate and chitosan capsules (AC), <em>B.</em><strong> </strong><em>ovis</em> ∆<em>abcBA</em> encapsulated by alginate and chitosan (AC+∆<em>abcBA</em>) and subsequently challenged with the wild strain of <em>B.</em><strong> </strong><em>ovis</em>. Data are expressed as individual animals (points) and mean with standard deviation. Results were analyzed for normality before being subjected to ANOVA, with the mean values compared by Tukey's test. Statistical differences are represented by asterisks (* p < 0.05, **p < 0.01, ***p < 0.001, ****p < 0.0001).

When evaluating the humoral response of the different groups after challenge with B. ovis, we observed that IgM levels were similar between the groups, with no statistically significant differences (Figure 6A). However, the evaluation of IgG levels indicated that the mice immunized with AC+∆abcBA had higher levels of total IgG when compared to the other groups. There was a small but significant increase in total IgG levels in mice immunized with CP+∆abcBA compared to the non-immunized mice (Figure 6B).

Then were evaluating the IgG subclasses, a significant increase in the levels of IgG1, IgG2a and IgG2b subclasses was observed in the mice immunized with AC+∆abcBA compared to the other groups (Figure 7).

Figure. 7. Determination of IgG1 (A), IgG2a (B), IgG2b (C) and IgG3 (D) levels by ELISAi of serum from female C57BL/6 mice (n = 6), immunized subcutaneously with PBS (Non-immunized), copolymer (PLX), PLX + B. ovis ∆abcBA (PLX+∆abcBA), alginate and chitosan capsules (AC), and <em>B.</em><strong> </strong><em>ovis</em> ∆<em>abcBA</em> encapsulated by alginate and chitosan (AC+∆<em>abcBA</em>) and subsequently challenged with the wild strain of <em>B.</em><strong> </strong><em>ovis</em> and subsequently challenged with the wild strain of <em>B.</em><strong> </strong><em>ovis</em>. Data are expressed as individual animals (points) and mean with standard deviation. Results were analyzed for normality before being subjected to ANOVA, with mean values compared by Tukey's test. Statistical differences are represented by asterisks (* p < 0.05, **p < 0.01, ***p < 0.001, ****p < 0.0001).

Discussion

This study evaluated two vaccine formulations with biopolymers: vaccine associated with a diblock copolymer PLX that solidifies at body temperature and vaccine encapsulated in alginate and chitosan microcapsules. We observed that C57BL/6 mice immunized subcutaneously with B. ovisabcBA encapsulated by alginate and chitosan, showed reduced bacterial colonization in spleen and liver after challenge with wild-type B. ovis strain, and induced the production of protective antibodies. Vaccine development for controlling Brucella infections have driven a considerable research effort over the past several years seeking novel vaccine formulations that are safe for animals and humans, and effective for controlling infection and clinical manifestation (Carvalho et al. 2016, Carvalho et al. 2020). Polymers have been increasingly used as vaccine adjuvants because they exhibit stability, safety, and biocompatibility (Golshani et al. 2018, Sadeghi et al. 2019) and act as an antigen delivery system, protecting them from degradation, leading to slower release by increasing immunogen availability, and improving uptake by antigen-presenting cells, leading to a more organized and durable immune response (Rice-Ficht et al. 2010, Kashem et al. 2017, Abkar et al. 2019).

Thus, this study demonstrates that vaccination with B. ovisabcBA strain with alginate and chitosan confers protection to B. ovis infection in the murine model. Our previous studies demonstrated that B. ovisabcBA vaccine strain encapsulated only with alginate confers a similar protection (Silva et al. 2015b) that was observed in new formulation which it associates chitosan to alginate. Although protection index was not very high, it is very consistent in this mouse model when challenge with reference strain of B. ovis. (Silva et al. 2015b, Carvalho et al. 2020b). The infection with pathogenic field isolates in the murine model, demonstrate that the vaccine formulation maintains its protective ability by reducing bacterial recovery in spleen and liver of the challenged mice (Carvalho et al. 2020b). In addition, the vaccine formulation when was used in the preferred host showed to be safe and effective by inducing sterile immunity (Silva et al. 2015a).

Previously, Arenas-Gamboa et al. (2009) reported better performance of the live attenuated vaccine strain (Brucella abortus S19 ∆vjbR) when encapsulated by alginate associated to poly-L-lysine/vpB. This formulation demonstrated sustained antigen release resulting in pronounced Th1 cytokine profile in cultured splenocytes, even after eight months of vaccination. The capacity for greater protective induction associated with the use of this combination of adjuvants has also been demonstrated against infection by other pathogens. Vaccination with alginate /chitosan microcapsules containing inactive Listeria monocytogenes induced an efficient immune response characterized by a decrease in lesions associated with a substantial increase in the CD4+ and CD8+ T lymphocyte and the synthesis of high levels of IFN-γ (Rocha et al. 2021). Live vaccine encapsulated by alginate and chitosan administered orally showed protection against Salmonella enterica serovar Gallinarum infection in birds associated to higher levels of IFN-γ mRNA expression (Onuigbo et al. 2018). Fish orally immunized with bacteria coated with alginate and chitosan against Streptococcus iniae and Lactococcus garvieae infections demonstrating higher survival rate in immunized animals and elevated levels of IgM and IgG (Halimi et al. 2019).

The necessity for encapsulation requires equipment that rise vaccine production costs. The search for polymers that do not require special equipment and can have important adjunct features such as slow release is desirable (Klouda and Mikos 2008). Although PLX copolymer has the behavior of being solid within the body favoring slow antigen release, the formulation used in this study did not induce protection murine model challenged by B ovis. The use of PLX induced minimal inoculation site reaction but did not reduce bacterial colonization in spleen and liver, or the inflammation in liver, and did not even induce significant humoral immune response.

Immunization with Brucella ovisabcBA coated alginate and chitosan capsules induces a strong humoral immune response with high levels of IgG and with higher representation of IgG1 and IgG2b subclasses. According to Abkar et al. (2019) Brucella spp. infection induces increased IgG production with predominance of IgG1 and IgG2 in mice. IGg2b synthesis favors the Th1-like response, playing an important role in anti-Brucella immunity in C57BL/6 mice (Fornefett et al. 2018). Th1-like response was linked to IFN production, a cytokine important in controlling intracellular pathogens like Brucella (Murphy et al. 2001). IFN favors IgG2a, IgG2b, and IgG3 production in mice Brucella infected (Fornefett et al. 2018).

Vaccine reactogenicity at the application site is tolerable in favor of inducing a protective immune response. However, some adjuvants may lead to undesirable exacerbated inflammatory reaction at the site of application as in the case of Freud's adjuvant (Windsor et al. 2005, Windsor and Eppleston 2006). It is important to continually search for new formulations that induce less reactogenicity (Stills Jr 2005, Powers et al. 2007) without impairing their immunostimulatory capacity. In this study mice that received AC + B. ovisabcBA, exhibited a local inflammatory reaction in some cases with fistula formation. The mice showed mild discomfort, but it did not affect weight gain. Preparation of vaccines with these adjuvants combinations should be refined. It is important to emphasize that the reactogenicity in the target host may be different from that observed in mice.

In conclusion, B. ovisabcBA encapsulated by alginate with chitosan, but not copolymer Poloxamer 407, resulted in reduction of bacterial recovery in challenged animals and induce protective humoral response showing vaccine potential in murine model.

Acknowledgements

Work in RLS and TAP labs is supported by CNPq (Conselho Nacional de Desenvolvimento Científico e Tecnológico, Brazil), FAPEMIG (Fundação de Amparo a Pesquisa do Estado de Minas Gerais, Brazil), and CAPES (Coordenação de Aperfeiçoamento de Pessoal de Nível Superior, Brazil).

References

Abkar M., Alamianb S. & Sattarahmady N.A. 2019. Comparison between adjuvant and delivering functions of calcium phosphate, aluminum hydroxide and chitosan nanoparticles, using a model protein of Brucella melitensis Omp31. Immunol Lett, 207, 28 – 35. https://doi.org/10.1016/j.imlet.2019.01.010.

Abkar M., Lotfi A.S., Amani J., Eskandari K., Ramandi M.F., Salimian J. Brujeni G.N., Alamian S., Kamali M. & Koushki H. 2015. Survey of Omp19 immunogenicity against Brucella abortus and Brucella melitensis: influence of nanoparticulation versus traditional immunization. Vet Res Commun, 39, 4, 217-228. https://doi.org/10.1007/s11259-015-9645-2 .

Arenas-Gamboa M., Ficht T.A., Kahl-McDonagh M.M. Gomez G. & Rice-Ficht A.C. 2009. The Brucella abortus S19 ∆vjbR live candidate is safer than S19 and confers protection against wild-type vaccine challenge in BALB/c mice when delivered in a sustained-release vehicle. Infect Immun, 77, 877 - 884. https://doi.org/10.1128/iai.01017-08.

Bobbala S., Tamboli V., McDowell A., Mitra A.K. & Hook S. 2016. Novel injectable pentablock copolymer based thermoresponsive hydrogels for sustained release vaccines. AAPS J, 18, 1, 261 - 269. https://doi.org/10.1208/s12248-015-9843-4.

Brunner R., Jensen-Jarolim E. & Schöll I.P. 2010. The ABC of clinical and experimental adjuvants - a brief overview. Immunol Lett, 128, 1, 29 – 35. https://dx.doi.org/10.1016%2Fj.imlet.2009.10.005.

Burgess G.W. 1982. Ovine contagious epididimytis: a review. Vet Microbiol, 7, 551-575. https://doi.org/10.1016/0378-1135(82)90049-9.

Carvalho Júnior C.A., Moustacas V.S., Xavier M.N., Costa E.A., Costa L.F., Silva T.M.A., Paixão T.A., Borges A.M., Gouveia A.M.G. & Santos R.L. 2012. Andrological, pathologic, morphometric, and altrasonographic findings in rams experimentally infected with Brucella ovis. Small Rumin Res, 102, 213-222. https://doi.org/10.1590/1678-5150-PVB-6481.

Carvalho T.F., Haddad J.P.A., Paixão T.A. & Santos R.L. 2016. Meta-analysis and advancement of brucellosis vaccinology. Plos One, 11, 11, e0166582. https://doi.org/10.1371/journal.pone.0166582.

Carvalho T.F., Haddad J.P.A., Paixão T.A. & Santos R.L. 2020 (a). Meta-analysis of brucellosis vaccinology in natural hosts. Pesq Vet Bras, 40, 8, 604-613. https://doi.org/10.1590/1678-5150-PVB-6651.

Carvalho T.P., Ribeiro N.Q., Mol J.P.S. Costa F.B., Eckstein E., Paula N.F., Paixão T.A. & Santos R.L. 2020 (b). Pathogenic potential of Brucella ovis field isolates with different genotypic profile and protection provided by the vaccine strain B. ovis ΔabcBA against B. ovis field isolates in mice. Pesq Vet Bras, 40, 2, 88–96. https://doi.org/10.1590/1678-5150-PVB-6481.

Corbel M.J. 2006. Food and Agriculture Organization of the United Nations, World Health Organization & World Organization for Animal Health‎. Brucellosis in humans and animals. World Health Organization. 2006. https://apps.who.int/iris/handle/10665/43597.

Costa L.F, Cabello A.L., Batista D.F.A., Chaki S.P., Figueiredo P., Paixão T.A., Rice-Ficht A.C., Ficht T.A. & Santos R.L. 2020. The candidate vaccine strain Brucella ovis ΔabcBA is protective against Brucella melitensis infection in mice. Microbiol Immunol, 11, 64, 730 – 736. https://doi.org/10.1111/1348-0421.12850.

Dumkliang E., Pamornpathomkul B., Patrojanasophon P., Ngawhirunpat T., Rojanarata T., Yoksan S. & Opanasopit, P. et al. 2021. Feasibility of chitosan-based nanoparticles approach for intranasal immunisation of live attenuated japanese encephalitis vaccine. Int J Biol Macromol, 183, 1096 – 1105. https://doi.org/10.1016/j.ijbiomac.2021.05.050.

Dumortier G., Grossiord J.L., Agnely F. & Chaumeil J.C. 2006. A review of poloxamer 407 pharmaceutical and pharmacological characteristics. Pharm Res, 23, 12, 2709–2728. https://doi.org/10.1007/s11095-006-9104-4.

Eckstein C., Mol J.P.S., Costa F.B., Nunes P.P., Lima P.A., Melo M.M., Carvalho T.P., Santos D.O., Silva M.F., Carvalho T.F., Costa L.F., Melo Júnior O.A.O., Giunchette R.C., Paixão T.A. & Santos R.L. 2020. Brucella ovis mutant in ABC transporter protects against Brucella canis infection in mice and it is safe for dogs. Plos One, 15, 4, 1 – 20. https://doi.org/10.1371/journal.pone.0231893.

Fornefett J., Krause J., Klose K., Fingas F., Hassert R., Benga L., Grunwald T., Müller U., Schrödl W. & Baums C.G. 2018. Comparative analysis of humoral immune responses and pathologies of BALB/c and C57BL/6 wildtype mice experimentally infected with a highly virulent Rodentibacter pneumotropicus (Pasteurella pneumotropica) strain. BMC Microbiology, 18, 1-11. https://doi.org/10.1186/s12866-018-1186-8 .

George M. & Abraham T.E. 2006. Polyionic hydrocolloids for the intestinal delivery of protein drugs: alginate and chitosan—a review, J Control Release, 114, 1, 1–14. https://doi.org/10.1016/j.jconrel.2006.04.017.

Golshani M., Amani M., Siadat S.D., Nejati-Moheimani M., Arsang A. & Bouzari S. 2018. Comparison of the protective immunity elicited by a Brucella cocktail protein vaccine (rL7/L12+rTOmp31+rSOmp2b) in two different adjuvant formulations in BALB/c mice. Mol Immunol, 103, 306 - 311. https://doi.org/10.1016/j.molimm.2018.10.002.

Halimi M., Alishahi M., Abbaspour M.R., Ghorbanpoor M. & Tabandeh M.R. 2019. Valuable method for production of oral vaccine by using alginate and chitosan against Lactococcus garvieae/Streptococcus iniae in rainbow trout (Oncorhynchus mykiss). Fish Shellfish Immunol, 90, 431 - 439. https://doi.org/10.1016/j.fsi.2019.05.020.

Heffernan M.J., Zaharoff D.A., Fallon J.K., Schlom J. & Greiner J.W. 2011. In vivo efficacy of a chitosan/IL-12 adjuvant system for protein-based vaccines. Biomaterials, 32, 926–932. https://doi.org/10.1016/j.biomaterials.2010.09.058.

Kashem S.W., Haniffa M. & Kaplan D.H. 2017. Antigen-presenting cells in the skin. Annu Rev Immunol, 35, 469 – 499. https://doi.org/10.1146/annurev-immunol-051116-052215.

Kesarwani A., Sahu P., Jain K., Sinha P., Mohan K.V., Nagpal P.S., Singh S., Zaidi R., Nagarajan P. & Upadhyay P. 2021. The safety and efficacy of BCG encapsulated alginate particle (BEAP) against M.tb H37Rv infection in Macaca mulatta: a pilot study. Sci Rep, 11, 3049. https://doi.org/10.1038/s41598-021-82614-5.

Klouda L. & Mikos A.G. 2008. Thermoresponsive hydrogels in biomedical applications. Eur J Pharm Biopharm, 68, 1, 34 - 45. https://doi.org/10.1016/j.ejpb.2007.02.025.

Kojarunchitt T., Baldursdottir S., Dong Y-D., Boyd B.J., Rades T. & Hook S. 2015. Modified thermoresponsive poloxamer 407 and chitosan sol–gels as potential sustained-release vaccine delivery systems. Eur J Pharm Biopharm, 89, 74 - 81. https://doi.org/10.1016/j.ejpb.2014.11.026.

Moreno E. 2021. The one-hundred-year journey of the genus Brucella (Meyer and Shaw 1920). FEMS Microbiol Rev, 45, 1, 045. https://doi.org/10.1093/femsre/fuaa045.

Murphy E.A., Sathiyaseelan J., Parent M.A., Zou B. & Baldwin C.L 2001. Interferon-gamma is crucial for surviving a Brucella abortus infection in both resistant C57BL/6 and susceptible BALB/c mice. Immunology, 103, 4, 511-518. https://doi.org/10.1046/j.1365-2567.2001.01258.x.

Onuigbo E., Iseghohimhen J., Chah K., Gyang M. & Attama A. 2018. Chitosan/alginate microparticles for the oral delivery of fowl typhoid vaccine: Innate and acquired immunity. Vaccine, 36, 33, 4973 - 4978. https://doi.org/10.1016/j.vaccine.2018.05.087.

Powers E.G., Nash P.B., Rhyan J.C., Yoder C.A. & Miller L.A. 2007. Comparison of immune and adverse effects induced by AdjuVac and Freund’s complete adjuvant in New Zealand white rabbits (Oryctolagus cuniculus). Lab Anim, 36, 9, 51- 58. https://doi.org/10.1038/laban1007-51.

Rahaiee S., Shojaosadati S.A., Hashemi M., Moini S. & Razavi S.H. 2015. Improvement of crocin stability by biodegradeble nanoparticles of chitosan-alginate. Int J Biol Macromol, 79, 423 - 432. https://doi.org/10.1016/j.ijbiomac.2015.04.041.

Rice-Ficht A.C., Arenas-Gamboa A.M., Kahl-Mcdonagh M.M. & Ficht T.A. 2010. A polymeric particle in vaccine delivery. Curr Opin Microbiol, 13, 106 – 112. https://doi.org/10.1016/j.mib.2009.12.001.

Rocha C.E.V., Silva M.F., Guedes A.C.B., Carvalho T.P., Eckstein E., Ribeiro N.Q., Santos D.A., Melo M.M., Araújo M.S.S., Martins-Filho O.A., Santos R.L. & Paixão T.A. 2021. Alginate-chitosan microcapsules improve vaccine potential of gamma-irradiated Listeria monocytogenes against listeriosis in murine model. Int J Biol Macromol, 10, 176, 567 – 577. https://doi.org/10.1016/j.ijbiomac.2021.02.056.

Sadeghi Z., Fasihi-Ramandi M. & Bouzari S. 2019. Evaluation of immunogenicity of novel multi-epitope subunit vaccines in combination with poly I:C against Brucella melitensis and Brucella abortus infection. Int Immunopharmacol, 75, 105829. https://doi.org/10.1016/j.intimp.2019.105829.

Shakya A.K. & Nandakumar K.S. 2013. Applications of polymeric adjuvants in studying autoimmune responses and vaccination against infectious diseases. J R Soc Interface, 10, 79, 20120536. https://doi.org/10.1098/rsif.2012.0536.

Silva A.P.C., Macêdo A.A., Silva T.M.A., Ximenes L.C.A., Brandão H.M., Paixão T.A. & Santos R.L. 2015 (b) Protection provided by an encapsulated live attenuated abcBA strain of Brucella ovis against experimental challenge in a murine model. Clin Vaccine Immunol, 22, 7,789 – 797. https://doi.org/10.1128/cvi.00191-15.

Silva A.P., Macêdo A.A., Costa L.F., Turchetti A.P., Bull V., Pessoa M.S., Araújo M.S.S., Nascimento E.F., Martins-Filho O.A., Paixão T.A. & Santos R.L. 2013. Brucella ovis lacking a species-specific putative ATP-binding cassette transporter is attenuated but immunogenic in rams. Vet Microbiol, 167, 3-4, 546-53. https://doi.org/10.1016/j.vetmic.2013.09.003.

Silva A.P.C., Macêdo A.A., Costa L.F., Rocha C.E., Garcia L.N.N., Farias J.R.D., Gomes P.P.R., Teixeira G.C., Fonseca K.W.J., Maia A.R.F., Neves G.G., Romão E.L., Silva T.M.A., Mol J.P.S., Oliveira R.M., Araújo M.S.S., Nascimento E.F., Martins-Filho O.A., Brandão H.M., Paixão T.A. & Santos R.L. 2015 (a). Encapsulated Brucella ovis lacking a putative ATP-binding cassette transporter (ΔabcBA) protects against wild type Brucella ovis in Rams. Plos One, 10, e0136865. https://doi.org/10.1371/journal.pone.0136865.

Silva T.M.A., Mol J.P.S., Winter M.G., Atluri V., Xavier M.N., Pires S.F., Paixão T.A., Andrade H.M., Santos R.L. & Tsolis R.M. 2014. The predicted ABC transporter AbcEDCBA is required for type IV secretion system expression and lysosomal evasion by Brucella ovis. Plos One, 9, 12, e114532. https://doi.org/10.1371/journal.pone.0114532.

Silva T.M.A., Paixão T.A., Costa E.A., Xavier M.N., Sá J.C., Moustacas V.S., den Hartigh A.B., Carvalho Neta A.V., Oliveira S.C., Tsolis R. & Santos R.L. 2011. Putative ATP-binding cassette transporter is essential for Brucella ovis pathogenesis in mice. Infect Immun, 79, 1706 – 1717. https://dx.doi.org/10.1128%2FIAI.01109-10.

Stills Jr H.F. 2005. Adjuvants and antibody production: dispelling the myths associated with Freund's complete and other adjuvants. Ilar J, 46, 3, 280 - 293. https://doi.org/10.1093/ilar.46.3.280.

Windsor P.A., Bush R., Links I. & Eppleston J. 2005. Injury caused by self-inoculation with a vaccine of a Freund's complete adjuvant nature (Gudair) used for control of ovine paratuberculosis. Aust Vet J, 83, 4, 216 - 220. https://doi.org/10.1111/j.1751-0813.2005.tb11654.x.

Windsor P.A. & Eppleston J. 2006. Lesions in sheep following administration of a vaccine of a Freund's complete adjuvant nature used in the control of ovine paratuberculosis. N Z Vet J, 54, 5, 237 - 241. https://doi.org/10.1080/00480169.2006.36704.

Downloads

Published

2024-09-30

How to Cite

Brunno Soares Oliveira, J. ., Barroso Costa, F., Aparecida Lima, P. ., Parente de Carvalho, T. ., Ferreira Silva, M., Alves da Silva, L., Daiane de Almeida Loures, M., de Mello Brandão, H., de Lima Santos, R., & Alves Paixao, T. (2024). Evaluation of polymeric adjuvants associated with cadidate vaccine strain Brucella ovis ∆abcBA in a murine model of Brucella ovis infection. Veterinaria Italiana, 60(3). https://doi.org/10.12834/VetIt.3016.31419.2

Issue

Topics*

Special Issue Brucellosis